von Dr. Sandro Lorenz
Statistik und Sichtungsnachweis dieser Seite findet sich am Artikelende
| [1.] Slo/Fragment 004 01 - Diskussion Zuletzt bearbeitet: 2014-07-17 19:57:21 Hindemith | Fragment, Gesichtet, Kriz 2006, SMWFragment, Schutzlevel sysop, Slo, Verschleierung |
|
|
| Untersuchte Arbeit: Seite: 4, Zeilen: 1-26 |
Quelle: Kriz 2006 Seite(n): 146, 147, 149, Zeilen: 146: 2. Spalte: 5ff; 147: 1. Spalte: 20ff; 149: Abbildung |
|---|---|
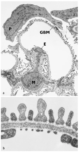
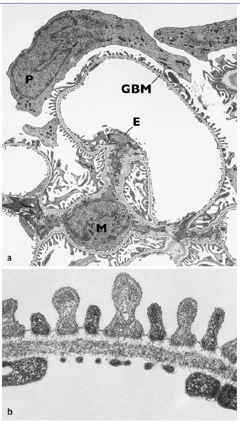
Abb. 1.3: Transmissionselektronenmikroskopische Bilder. a) Glomeruluskapillare mit Mesangium (M), GBM, Porenendothel (E) und Podozytenschicht (P). Beachte, dass der Zellkörper des Podozyten nicht direkt auf der GBM aufsitzt, sondern sozusagen an seinen Fortsätzen hängend im Harnraum flottiert und b) Detailbild der Filtrationsbarriere bestehend aus dem Endothel mit offenen Poren, der GBM mit Lamina rara interna, Lamina densa und Lamina rara externa und der zwischen den Podozytenfüßchen ausgespannten Schlitzmembran. (Foto: Hiltraud Hosser, Institut für Anatomie und Zellbiologie der Universität Heidelberg) [Dadurch wird einerseits eine mechanisch stabile und möglicherweise dynamische Verbindung zwischen GBM und Zytoskelett der Podozyten geschaffen,] andererseits ermöglichen diese Verbindungen ein „inside-out-“ und ein „outside-in-signalling“ und damit auch die Übertragung von mechanischen Signalen aus der GBM in die Fußfortsätze (Pavenstädt et al., 2003). Zwischen den Fußfortsätzen bleiben mäandrierende Spalten offen, die sog. Filtrationsschlitze. Sie haben eine Tiefe von 300-500 nm und eine Breite von 30-40 nm. Diese Schlitze werden in der Tiefe von der ungefähr 4 nm dicken Schlitzmembran überbrückt (Abb. 1.3b, 1.4). Dies ist eine extrazelluläre Proteinstruktur mit einem außerordentlich regelmäßigen submikroskopischen Aufbau. Die Schlitzmembran ähnelt ultrastrukturell einer Adherensverbindung. An ihrem Aufbau sind die Proteine Nephrin, Neph1, 2 und 3, PCadherin und FAT beteiligt. Dies sind transmembranäre Proteine mit langen extrazellulären Domänen, von denen man annimmt, dass sie aus gegenüberliegenden Fußfortsätzen aufeinander zulaufen, sich überlappen und einander binden und dabei eine spezifische Porenstruktur die Schlitzmembran ausbilden. Der Aufbau der Schlitzmembran ähnelt einer Zonula adherens aus sich in der Mitte überlappenden, transmembranären Proteinen; dazu gehören bis zum heutigen Kenntnisstand die Proteine Nephrin, Podocin, CD2AP, ZO-1, Neph1-3, P-Cadherin, Densin-180 und FAT1/FAT2 (Ahola et al., 2003; Donoviel et al., 2001; Huber & Benzing, 2005; Ihalmo et al., 2003; Inoue et al., 2001; Kim et al., 2003; Reiser et al., 2000; Roselli et al., 2002; Sellin et al., 2002; Shih et al., 1999). |
Dadurch wird einerseits eine mechanisch stabile und möglicherweise dynamische Verbindung zwischen GBM und Zytoskelett der Podozyten geschaffen, andererseits ermöglichen diese Verbindungen ein „inside-out-“ und ein „outside-in-signalling“ und damit auch die Übertragung von mechanischen Signalen aus der GBM in die Fußfortsätze [27]. Zwischen den Fußfortsätzen bleiben mäandrierende Spalten offen, die sog. Filtrationsschlitze (Abb. 4). Sie haben eine Tiefe von 300-500 nm und eine Breite von 30-40 nm. Die Schlitze werden in der Tiefe von der 4 nm dicken Schlitzmembran überbrückt (Abb. 3b, 5). Dies ist eine extrazelluläre Proteinstruktur mit einem regelmäßigen submikroskopischen Aufbau. Die Schlitzmembran ähnelt ultrastrukturell einer Adherensverbindung. An ihrem Aufbau sind die Proteine Nephrin, Neph1,2 und 3, p-Cadherin und FAT beteiligt. Dies sind transmembranäre Proteine mit langen extrazellulären Domänen, von denen man annimmt, dass sie aus gegenüberliegenden Fußfortsätzen aufeinander zulaufen, sich überlappen und einander binden und dabei eine spezifische Porenstruktur der Schlitzmembran ausbilden; [...]
[Seite 147] Der Aufbau der Schlitzmembran ähnelt einer Zonula adherens aus sich in der Mitte überlappenden, transmembranären Proteinen; dazu gehören Nephrin, Neph1, 2 und 3, FAT1 und P-Cadherin. Über Adapterproteine (Catenine, ZO-1, Podocin, CD2AP) wird die Verbindung zum Aktinskelett hergestellt. [Seite 149] Abb. 3 Transmissionselektronenmikroskopische Bilder. a Glomeruluskapillare mit Mesangium (M), GBM, Porenendothel (E) und Podozytenschicht (P). Beachte, dass der Zellkörper des Podozyten nicht direkt auf der GBM aufsitzt, sondern sozusagen an seinen Fortsätzen hängend im Harnraum flottiert und b Detailbild der Filtrationsbarriere bestehend aus dem Endothel mit offenen Poren, der GBM mit Lamina rara interna, Lamina densa und Lamina rara externa und der zwischen den Podozytenfüßchen ausgespannten Schlitzmembran. (Photo: Hiltraud Hosser, Institut für Anatomie und Zellbiologie der Universität Heidelberg) 27. Pavenstadt H, Kriz W, Kretzler M (2003) Cell biology of the glomerular podocyte. Physiol Rev 83: 253– 307 |
Ein Verweis auf die Quelle fehlt. Siehe Slo/Fragment_005_00 für die Abb. 1.4. auf die im Text verwiesen wird. |
|
| [2.] Slo/Fragment 004 26 - Diskussion Zuletzt bearbeitet: 2014-07-17 19:51:00 Hindemith | Fragment, Gesichtet, KomplettPlagiat, SMWFragment, Schurek 2007, Schutzlevel sysop, Slo |
|
|
| Untersuchte Arbeit: Seite: 4, Zeilen: 26-32 |
Quelle: Schurek 2007 Seite(n): 3, Zeilen: 17-25 |
|---|---|
| [...] dazu gehören bis zum heutigen Kenntnisstand die Proteine Nephrin, Podocin, CD2AP, ZO-1, Neph1-3, P-Cadherin, Densin-180 und FAT1/FAT2 (Ahola et al., 2003; Donoviel et al., 2001; Huber & Benzing, 2005; Ihalmo et al., 2003; Inoue et al., 2001; Kim et al., 2003; Reiser et al., 2000; Roselli et al., 2002; Sellin et al., 2002; Shih et al., 1999). An der direkten Überbrückung der Filtrationsschlitze sind dabei die Proteine Nephrin, Neph1-3, P-Cadherin und FAT1/FAT2 maßgeblich beteiligt (Vgl. Abb. 1.4). | Für deren Aufbau entscheidend sind bis zum heutigen Kenntnisstand die Proteine Nephrin, Podocin, CD2AP, ZO-1, Neph1-3, P-Cadherin, Densin-180 und FAT1/FAT2 [3;15;31;36;38;41;74;80;88;90]. An der direkten Überbrückung der Filtrationsschlitze sind dabei die Proteine Nephrin, Neph1-3, P-Cadherin und FAT1/FAT2 maßgeblich beteiligt (Vgl. Abb. 1.4 a).
3. Ahola H, Heikkila E, Astrom E, Inagaki M, Izawa I, Pavenstadt H, Kerjaschki D, Holthofer H: A novel protein, densin, expressed by glomerular podocytes. J Am Soc Nephrol 2003;14:1731-1737. 15. Donoviel DB, Freed DD, Vogel H, Potter DG, Hawkins E, Barrish JP, Mathur BN, Turner CA, Geske R, Montgomery CA, Starbuck M, Brandt M, Gupta A, Ramirez- Solis R, Zambrowicz BP, Powell DR: Proteinuria and perinatal lethality in mice 31. Huber TB, Benzing T: The slit diaphragm: a signaling platform to regulate podocyte function. Curr Opin Nephrol Hypertens 2005;14:211-216. 36. Ihalmo P, Palmen T, Ahola H, Valtonen E, Holthofer H: Filtrin is a novel member of nephrin-like proteins. Biochem Biophys Res Commun 2003;300:364-370. 38. Inoue T, Yaoita E, Kurihara H, Shimizu F, Sakai T, Kobayashi T, Ohshiro K, Kawachi H, Okada H, Suzuki H, Kihara I, Yamamoto T: FAT is a component of glomerular slit diaphragms. Kidney Int 2001;59:1003-1012. 41. Kim JM, Wu H, Green G, Winkler CA, Kopp JB, Miner JH, Unanue ER, Shaw AS: CD2-associated protein haploinsufficiency is linked to glomerular disease susceptibility. Science 2003;300:1298-1300. 74. Reiser J, Kriz W, Kretzler M, Mundel P: The glomerular slit diaphragm is a modified adherens junction. J Am Soc Nephrol 2000;11:1-8. 80. Roselli S, Gribouval O, Boute N, Sich M, Benessy F, Attie T, Gubler MC, Antignac C: Podocin localizes in the kidney to the slit diaphragm area. Am J Pathol 2002;160:131-139. 88. Sellin L, Huber TB, Gerke P, Quack I, Pavenstadt H, Walz G: NEPH1 defines a novel family of podocin interacting proteins. FASEB J 2003;17:115-117. 90. Shih NY, Li J, Karpitskii V, Nguyen A, Dustin ML, Kanagawa O, Miner JH, Shaw AS: Congenital nephrotic syndrome in mice lacking CD2-associated protein. Science 1999;286:312-315. |
Ein Verweis auf die Quelle fehlt. Alle zehn Literaturverweise sind identisch. |
|
Letzte Bearbeitung dieser Seite: durch Benutzer:Hindemith, Zeitstempel: 20140519063248

