von Dr. Sandro Lorenz
Statistik und Sichtungsnachweis dieser Seite findet sich am Artikelende
| [1.] Slo/Fragment 003 02 - Diskussion Zuletzt bearbeitet: 2014-07-17 19:50:59 Hindemith | Fragment, Gesichtet, KomplettPlagiat, Kriz 2006, SMWFragment, Schutzlevel sysop, Slo |
|
|
| Untersuchte Arbeit: Seite: 3, Zeilen: 2ff (komplett) |
Quelle: Kriz 2006 Seite(n): 144, 146, 149, Zeilen: 144: 2. Spalte: letzte 4 Zeilen, 146: 1. Spalte: 5ff: 149: Abbildung |
|---|---|
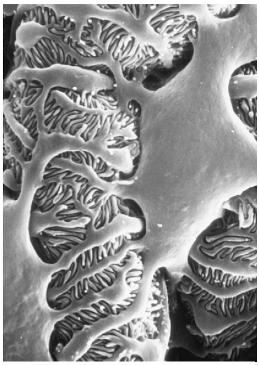
Abb. 1.2: Rasterelektronenmikroskopisches Bild der Außenseite einer Glomeruluskapillare. Zu sehen ist ein Podozyt, von dessen Körper zunächst Primärfortsätze entspringen, die sich in die fingerförmigen Fußfortsätze aufspalten; zwischen letzteren erkennt man die Filtrationsschlitze. (Foto: Brunhilde Hähnel, Institut für Anatomie und Zellbiologie der Universität Heidelberg) 1.1.1 Podozyten und Schlitzmembran Podozyten bestehen aus einem großen Zellkörper und Fortsätzen, mit denen die Zellen an der GBM haften; die Zellkörper selbst berühren die GBM nicht, sie flottieren im Ultrafiltrat des Kapselraums (Abb. 1.2). Der Zellkern liegt nahe der dem Kapselraum zugewandten Zellmembran, der ausgedehnte „subnukleäre“ Zytoplasmaraum enthält den stark entwickelten Golgi-Apparat, ausgedehnte Areale aus rauem und glattem endoplasmatischen Retikulum und viele lysosomale Elemente. Vom Zellkörper ziehen zunächst kräftige Fortsätze (Primärfortsätze) zur GBM; dort spalten sie sich in die Fußfortsätze auf, die mit ihrer basalen Seite an der GBM haften. Diese in ihrer Form eher fingerförmigen Fortsätze (der Name Fußfortsatz bezieht sich auf das Schnittbild) interdigitieren sehr regelmäßig mit den Fußfortsätzen eines anderen Podozyten. Die interdigitierende Textur der Fußfortsätze bildet die äußere Schicht der Filtrationsbarriere (Abb. 1.3a). Die Verankerung der Fußfortsätze an der GBM erfolgt durch Integrine (α3/β1-Integrine, die an Laminin 5-2-1 binden) und durch Dystroglykan, das ebenfalls an Laminin 5-2-1 und an Agrin bindet (Raats et al., 2000; Regele et al., 2000). Integrine und Dystroglykan sind im Zytoplasma über Adaptermoleküle (Talin, Vinculin, Paxillin, Utrophin) mit dem Aktinfilamentsystem verknüpft. An dieser Stelle findet sich auch eine Integrin-assoziierte Kinase (Blattner & Kretzler, 2005). Dadurch wird einerseits eine mechanisch stabile und möglicherweise dynamische Verbindung zwischen GBM und Zytoskelett der Podozyten geschaffen, [andererseits ermöglichen diese Verbindungen ein „inside-out-“ und ein „outside-in-signalling“ und damit auch die Übertragung von mechanischen Signalen aus der GBM in die Fußfortsätze (Pavenstädt et al., 2003).] |
Zellaufbau
Podozyten bestehen aus einem großen Zellkörper und Fortsätzen, mit denen die Zellen an der GBM haften; die Zellkörper selbst berühren die GBM nicht, sie flottieren im Ultrafiltrat des Kapselraums (Abb. 3). Der Zellkern liegt nahe der dem Kapselraum zugewanden [sic] Zellmembran, der ausgedehnte „subnukleäre“ Zytoplasmaraum enthält den stark entwickelten Golgi-Apparat, ausgedehnte Areale aus rauem und glattem endoplasmatischen Retikulum und viele lysosomale Elemente. Vom Zellkörper ziehen zunächst kräftige Fortsätze (Primärfortsätze) zur GBM; dort spalten sie sich in die Fußfortsätze auf, die mit ihren „Sohlen“ an der GBM haften. Diese in ihrer Form eher fingerförmigen Fortsätze (der Name Fußfortsatz bezieht sich auf das Schnittbild) interdigitieren sehr regelmäßig mit den Fußfortsätzen eines anderen Podozyten. Die interdigitierende Textur der Fußfortsätze bildet die äußere Schicht der Filtrationsbarriere (Abb. 4). [Seite 146] Die Verankerung der Fußfortsätze in der GBM erfolgt durch Integrine (α3/β1- Integrine, die an Laminin 5-2-1 binden) und durch Dystroglykan, das ebenfalls an Laminin 5-2-1 und an Agrin bindet [28, 30]. Integrine und Dystroglykan sind im Zytoplasma über Adaptermoleküle (Talin, Vinculin, Paxillin, Utrophin) mit dem Aktinfilamentsystem verknüpft. An dieser Stelle findet sich auch eine integrinassoziierte Kinase [5]. Dadurch wird einerseits eine mechanisch stabile und möglicherweise dynamische Verbindung zwischen GBM und Zytoskelett der Podozyten geschaffen, andererseits ermöglichen diese Verbindungen ein „inside-out-“ und ein „outside-in-signalling“ und damit auch die Übertragung von mechanischen Signalen aus der GBM in die Fußfortsätze [27]. [Seite 149] Abb. 4 Rasterelektronenmikroskopisches Bild der Außenseite einer Glomeruluskapillare. Zu sehen ist ein Podozyt, von dessen Körper zunächst Primärfortsätze entspringen, die sich in die fingerförmigen Fußfortsätze aufspalten; zwischen letzteren erkennt man die Filtrationsschlitze. (Photo: Brunhilde Hähnel, Institut für Anatomie und Zellbiologie der Universität Heidelberg) 5. Blattner S, Kretzler M (2005) Integrin-linked kinase in renal disease: connecting cell-matrix interaction to the cytoskeleton. Curr Opin Nephrol Hypertens 14: 404–410 27. Pavenstadt H, Kriz W, Kretzler M (2003) Cell biology of the glomerular podocyte. Physiol Rev 83: 253– 307 28. Raats C, van den Born J, Bakker M et al. (2000) Expression of agrin, dystroglycan, and utrophin in normal renal tissue and in experimental glomerulopathies. Am J Pathol 156(5): 1749–1765 30. Regele H, Fillipovic E, Langer B et al. (2000) Glomerular expression of dystroglycans is reduced in minimal change nephrosis but not in focal segmental glomerulosclerosis. J Am Soc Nephrol 11(3): 403– 412 |
Ein Verweis auf die Quelle fehlt. |
|
Letzte Bearbeitung dieser Seite: durch Benutzer:Hindemith, Zeitstempel: 20140519063222

