Angaben zur Quelle [Bearbeiten]
| Autor | Carolin Mallig |
| Titel | Etablierung eines Polytrauma-Modells aus Schädelhirntrauma und Femurfraktur mit hämorrhagischem Schock bei der Maus |
| Ort | Hannover |
| Jahr | 2006 |
| Anmerkung | Aus der Klinik für kleine Haustiere der Tierärztlichen Hochschule Hannover und der Experimentellen Unfallchirurgie der Unfallchirurgischen Klinik der Medizinischen Hochschule Hannover INAUGURAL – DISSERTATION Zur Erlangung des Grades eines Doktors der Veterinärmedizin - Doctor medicinae veterinariae - (Dr. med. vet.) |
| URL | http://d-nb.info/983581452/34 |
Literaturverz. |
ja |
| Fußnoten | ja |
| Fragmente | 43 |
| [1.] Lcg/Fragment 012 01 - Diskussion Zuletzt bearbeitet: 2015-10-12 21:04:23 WiseWoman | Fragment, Gesichtet, Lcg, Mallig 2006, SMWFragment, Schutzlevel sysop, Verschleierung |
|
|
| Untersuchte Arbeit: Seite: 12, Zeilen: 1-14 |
Quelle: Mallig 2006 Seite(n): 27, 28, Zeilen: 27: 9ff; 28: 1-4 |
|---|---|
| [TNF-α spielt unter anderem bei der Entwicklung einer akuten inflammatorischen] Lungenverletzung nach Blutverlusten eine wichtige Rolle. Blockieren von TNF-α mit monoklonalen Antikörpern vermindert die durch Hämorrhagie induzierte Lungenverletzung signifikant(42). Im Gehirn kommt es zu erhöhten TNF-α- Konzentrationen nach pathologischen Prozessen wie beispielsweise einer Ischämie(43,44) oder Verletzungen(45). TNF-α werden im Gehirn sowohl neurotoxische(46) als auch neuroprotektive Wirkungen zugesprochen(47). Das Zytokin führt im Gehirn zur Proliferation von Astrozyten und ist entscheidend an der Erhöhung der Permeabilität der Bluthirnschranke während der Reperfusion beteiligt(48). Über eine Erhöhung von Metalloproteinasen(49), ist TNF-α an der Schädigung der Basallamina und an der proteolytischen Zerstörung der Bluthirnschranke beteiligt (50,51). TNF-α wirkt nicht nur als Initiator des Entzündungsgeschehens, sondern hält auch die Produktion anderer Zytokine über einen längeren Zeitraum aufrecht(52). Patienten, die ein MODS entwickeln, haben höhere TNF-α-Level verglichen mit Patienten ohne schwere Komplikationen(53).
42. Abraham, E., Jesmok, G., Tuder, R., Allbee, J., and Chang, Y. H.: Contribution of tumor necrosis factor-alpha to pulmonary cytokine expression and lung injury after hemorrhage and resuscitation, Crit Care Med. 23:1319- 1326, 1995 43. Botchkina, G. I., Meistrell, M. E., III, Botchkina, I. L., and Tracey, K. J.: Expression of TNF and TNF receptors (p55 and p75) in the rat brain after focal cerebral ischemia, Mol.Med. 3:765-781, 1997 44. Gregersen, R., Lambertsen, K., and Finsen, B.: Microglia and macrophages are the major source of tumor necrosis factor in permanent middle cerebral artery occlusion in mice, J.Cereb.Blood Flow Metab 20:53-65, 2000 45. Holmin, S., Schalling, M., Hojeberg, B., Nordqvist, A. C., Skeftruna, A. K., and Mathiesen, T.: Delayed cytokine expression in rat brain following experimental contusion, J.Neurosurg. 86:493-504, 1997 46. Mayne, M., Ni, W., Yan, H. J., Xue, M., Johnston, J. B., Del Bigio, M. R., Peeling, J., and Power, C.: Antisense oligodeoxynucleotide inhibition of tumor necrosis factor-alpha expression is neuroprotective after intracerebral hemorrhage, Stroke 32:240-248, 2001 47. Stahel, P. F., Shohami, E., Younis, F. M., Kariya, K., Otto, V. I., Lenzlinger, P. M., Grosjean, M. B., Eugster, H. P., Trentz, O., Kossmann, T., and Morganti-Kossmann, M. C.: Experimental closed head injury: analysis of neurological outcome, blood-brain barrier dysfunction, intracranial neutrophil infiltration, and neuronal cell death in mice deficient in genes for proinflammatory cytokines, J.Cereb.Blood Flow Metab 20:369-380, 2000 48. Yang, G. Y., Gong, C., Qin, Z., Liu, X. H., and Lorris, Betz A.: Tumor necrosis factor alpha expression produces increased blood-brain barrier permeability following temporary focal cerebral ischemia in mice, Brain Res.Mol.Brain Res. 69:135-143, 21-5-1999 49. Rosenberg, G. A., Estrada, E. Y., Dencoff, J. E., and Stetler-Stevenson, W. G.: Tumor necrosis factor-alpha-induced gelatinase B causes delayed opening of the blood-brain barrier: an expanded therapeutic window, Brain Res. 703:151-155, 12-12-1995 50. Rosenberg, G. A. and Navratil, M.: Metalloproteinase inhibition blocks edema in intracerebral hemorrhage in the rat, Neurology 48:921-926, 1997 51. Rosenberg, G. A., Cunningham, L. A., Wallace, J., Alexander, S., Estrada, E. Y., Grossetete, M., Razhagi, A., Miller, K., and Gearing, A.: Immunohistochemistry of matrix metalloproteinases in reperfusion injury to rat brain: activation of MMP-9 linked to stromelysin-1 and microglia in cell cultures, Brain Res. 893:104-112, 2-3-2001 52. Cavaillon, J. M., Adib-Conquy, M., Fitting, C., Adrie, C., and Payen, D.: Cytokine cascade in sepsis, Scand.J.Infect.Dis. 35:535-544, 2003 53. Sheng, Z., Yao, Y., and Yu, Y.: The relationship between gut-derived endotoxemia and tumor necrosis factor, neopterin: experimental and clinical studies, Chin Med.J.(Engl.) 110:30-35, 1997 |
TNF-α spielt unter anderem bei der Entwicklung einer akuten inflammatorischer [sic] Lungenverletzung nach Blutverlusten eine wichtige Rolle. Blockieren von TNF-α mit monoklonalen Antikörpern vermindert die Hämorrhagie-induzierte Lungenverletzung signifikant (ABRAHAM et al. 1995). Obwohl die Spiegel von TNF-α und einigen Interleukinen bei Patienten mit hämorrhagischem Schock erhöht sind, erreichen diese Zytokine nicht die Konzentrationen, die man bei einem septischem Schock sieht (ENDO et al. 1994). Patienten, die ein MODS entwickeln, haben höhere TNF-α-Level verglichen mit Patienten ohne schwere Komplikationen (SHENG et al. 1997).
Im Gehirn kommt es zu erhöhten TNF-α-Konzentrationen nach pathologischen Prozessen wie beispielsweise einer Ischämie (LIU et al. 1994; BUTTINI et al. 1996; BOTCHKINA et al. 1997; ZHAI et al. 1997; GREGERSEN et al. 2000) oder Verletzungen (GOODMAN et al. 1990; TAUPIN et al. 1993; TCHELINGERIAN et al. 1993; SHOHAMI et al. 1994; FAN et al. 1996; HOLMIN et al. 1997). Die Wirkungen von TNF-α im Gehirn werden kontrovers diskutiert. So werden diesem Zytokin sowohl neurotoxische (CHAO u. HU 1994; DAWSON et al. 1996; DE VRIES et al. 1996; SHOHAMI et al. 1996; BARONE et al. 1997; MEISTRELL et al. 1997; GONG et al. 1998; KNOBLACH et al. 1999; VENTERS et al. 1999; MAYNE et al. 2001) als auch neuroprotektive Wirkungen zugesprochen (CHENG et al. 1994; MATTSON et al. 1995; BRUCE et al. 1996; GARY et al. 1998; STAHEL et al. 2000). Der TNF-α führt im Gehirn zur Proliferation von Astrozyten (SELMAJ et al. 1990; BALASINGAM et al. 1994) und er scheint ein wichtiger Mediator bei der Erhöhung der Permeabilität der Bluthirnschranke während der Reperfusion zu sein (YANG et al. 1999). Dabei [Seite 28] bewirkt er eine Erhöhung von Metalloproteinasen (ROSENBERG et al. 1995), welche die Basallamina schädigen und an der proteolytischen Zerstörung der Bluthirnschranke beteiligt sind (ROSENBERG u. NAVRATIL 1997; ROSENBERG et al. 2001). |
Ein Verweis auf die eigentliche Quelle fehlt. |
|
| [2.] Lcg/Fragment 014 06 - Diskussion Zuletzt bearbeitet: 2015-10-04 08:05:18 Klgn | Fragment, Gesichtet, KomplettPlagiat, Lcg, Mallig 2006, SMWFragment, Schutzlevel sysop |
|
|
| Untersuchte Arbeit: Seite: 14, Zeilen: 6-26 |
Quelle: Mallig 2006 Seite(n): 29, 30, Zeilen: 29: 18ff; 30: 1ff |
|---|---|
| Außerdem wurde eine Korrelation der IL-6- Plasmakonzentration direkt nach einem Trauma mit dem ,,Injury Severity Score“ (ISS) nachgewiesen(64). Ein volumensubstituierter hämorrhagischer Schock bewirkt eine IL-6-Produktion in der Lunge, was zu Infiltration von neutrophilen Granulozyten und sekundären Lungenverletzungen führt(65). An Endothelzellen führt Interleukin-6 zu einer reversiblen Erhöhung der Permeabilität(66). IL-6 wird auch in anderen Organen, wie beispielsweise der Leber gebildet(67). Auch bei der Entwicklung einer Darmbarrierendysfunktion nach substituiertem hämorrhagischen Schock ist IL-6 ein wesentlicher Mediator(68). Im Gegensatz zu den lokalen proinflammatorischen Effekten von IL-6 führen systemische IL-6-Applikationen zu drastisch verminderten Entzündungsreaktionen und Schäden in Lunge und Leber(69). Bei hämorrhagischem Schock dominieren jedoch die lokalen proinflammatorischen Effekte, die zu Granulozyteninfiltration und Organschäden führen(70). Sowohl an Patienten als auch im Rattenmodell konnte gezeigt werden, dass es nach einem Schädelhirntrauma zu einer Erhöhung der IL-6-Spiegel im Plasma und noch deutlicher im Liquor cerebrospinalis kommt(71). Im Gehirn wird IL-6 eine wichtige Rolle bei Reparaturprozessen nach einer traumatischen Hirnschädigung zugesprochen(72). Andererseits kann eine erhöhte IL-6- Produktion im Gehirn auch die Funktion der Bluthirnschranke beeinflussen und an einer Schädigung des Hirnparenchyms beteiligt sein(73). Die Expression von IL-6 im Gehirn führt außerdem zur Entwicklung einer reaktiven Gliose(74).
64. Gebhard, F., Pfetsch, H., Steinbach, G., Strecker, W., Kinzl, L., and Bruckner, U. B.: Is interleukin 6 an early marker of injury severity following major trauma in humans?, Arch.Surg. 135:291-295, 2000 65. Hierholzer, C., Kalff, J. C., Omert, L., Tsukada, K., Loeffert, J. E., Watkins, S. C., Billiar, T. R., and Tweardy, D. J.: Interleukin-6 production in hemorrhagic shock is accompanied by neutrophil recruitment and lung injury, Am.J.Physiol 275:L611-L621, 1998 66. Maruo, N., Morita, I., Shirao, M., and Murota, S.: IL-6 increases endothelial permeability in vitro, Endocrinology 131:710-714, 1992 67. Hierholzer, C., Kalff, J. C., Bednarski, B., Memarzadeh, F., Kim, Y. M., Billiar, T. R., and Tweardy, D. J.: Rapid and simultaneous activation of Stat3 and production of interleukin 6 in resuscitated hemorrhagic shock, Arch.Orthop.Trauma Surg. 119:332-336, 1999 68. Yang, R., Han, X., Uchiyama, T., Watkins, S. K., Yaguchi, A., Delude, R. L., and Fink, M. P.: IL-6 is essential for development of gut barrier dysfunction after hemorrhagic shock and resuscitation in mice, Am.J.Physiol Gastrointest.Liver Physiol 285:G621-G629, 2003 69. Meng, Z. H., Dyer, K., Billiar, T. R., and Tweardy, D. J.: Distinct effects of systemic infusion of G-CSF vs. IL-6 on lung and liver inflammation and injury in hemorrhagic shock, Shock 14:41-48, 2000 70. Meng, Z. H., Dyer, K., Billiar, T. R., and Tweardy, D. J.: Essential role for IL- 6 in postresuscitation inflammation in hemorrhagic shock, Am.J.Physiol Cell Physiol 280:C343-C351, 2001 71. Singhal, A., Baker, A. J., Hare, G. M., Reinders, F. X., Schlichter, L. C., and Moulton, R. J.: Association between cerebrospinal fluid interleukin-6 concentrations and outcome after severe human traumatic brain injury, J.Neurotrauma 19:929-937, 2002 72. Penkowa, M., Camats, J., Hadberg, H., Quintana, A., Rojas, S., Giralt, M., Molinero, A., Campbell, I. L., and Hidalgo, J.: Astrocyte-targeted expression of interleukin-6 protects the central nervous system during neuroglial degeneration induced by 6-aminonicotinamide, J.Neurosci.Res. 73:481-496, 15-8-2003 73. Brett, F. M., Mizisin, A. P., Powell, H. C., and Campbell, I. L.: Evolution of neuropathologic abnormalities associated with blood-brain barrier breakdown in transgenic mice expressing interleukin-6 in astrocytes, J.Neuropathol.Exp.Neurol. 54:766-775, 1995 74. Chiang, C. S., Stalder, A., Samimi, A., and Campbell, I. L.: Reactive gliosis as a consequence of interleukin-6 expression in the brain: studies in transgenic mice, Dev.Neurosci. 16:212-221, 1994 |
An Endothelzellen führt Interleukin-6 zu einer reversiblen Erhöhung der Permeabilität (MARUO et al. 1992).
[...] Außerdem wurde eine Korrelation der IL-6- Plasmakonzentration direkt nach einem Trauma mit dem „Injury Severity Score“ (ISS) nachgewiesen (GEBHARD et al. 2000). Man kann daran Patienten erkennen, die ein Multiorganversagen entwickeln werden (PARTRICK et al. 1996). Ein volumensubstituierter hämorrhagischer Schock bewirkt eine IL-6-Produktion in der Lunge, was zu Infiltration von neutrophilen Granulozyten und sekundären Lungenverletzungen führt (HIERHOLZER et al. 1998). IL-6 wird auch in anderen Organen, wie beispielsweise der Leber gebildet (HIERHOLZER et al. 1999). Auch [Seite 30] bei der Entwicklung einer Darmbarrierendysfunktion nach substituiertem hämorrhagischen Schock ist IL-6 ein wesentlicher Mediator (YANG et al. 2003). Im Gegensatz zu den lokalen proinflammatorischen Effekten von IL-6 führen systemische IL-6-Applikationen zu drastisch verminderten Entzündungsreaktionen und Schäden in Lunge und Leber (MENG et al. 2000). Bei hämorrhagischem Schock dominieren jedoch die lokalen proinflammatorischen Effekte, die zu Granulozyteninfiltration und Organschäden führen (MENG et al. 2001). Sowohl an Patienten als auch im Rattenmodell konnte gezeigt werden, dass es nach einem Schädelhirntrauma zu einer Erhöhung der IL-6-Spiegel im Plasma und noch deutlicher im Liquor cerebrospinalis kommt (KOSSMANN et al. 1995; HANS et al. 1999a, 1999b; SINGHAL et al. 2002). Im Gehirn wird IL-6 eine wichtige Rolle bei Reparaturprozessen nach einer traumatischen Hirnschädigung zugesprochen (SWARTZ et al. 2001; PENKOWA et al. 2003). Andererseits kann eine erhöhte IL-6- Produktion im Gehirn auch die Funktion der Bluthirnschranke beeinflussen und an einer Schädigung des Hirnparenchyms beteiligt sein (BRETT et al. 1995). Die Expression von Interleukin-6 im Gehirn führt außerdem zur Entwicklung einer reaktiven Gliose (CHIANG et al. 1994). |
Ein Verweis auf die Quelle fehlt. |
|
| [3.] Lcg/Fragment 016 17 - Diskussion Zuletzt bearbeitet: 2015-11-17 22:24:36 Hindemith | Fragment, Gesichtet, Lcg, Mallig 2006, SMWFragment, Schutzlevel sysop, Verschleierung |
|
|
| Untersuchte Arbeit: Seite: 16, Zeilen: 17-24 |
Quelle: Mallig 2006 Seite(n): 28, Zeilen: 21ff |
|---|---|
| Im Gehirn deuten entsprechende Rezeptoren auf Mikroglia darauf hin, dass dieses Chemokin an Interaktionen zwischen Neuronen und Mikroglia beteiligt ist. Es konnte eine erhöhte Expression von MCP-1 in Neuronen nach Nervenverletzungen nachgewiesen werden(95). Studien am ischämischen Hirn bewiesen, dass MCP-1 eine entscheidende Rolle bei der Migration von Makrophagen in die Läsion spielt und dass die zeitlich unterschiedliche Freisetzung von Chemokinen zu Regulierung von eindringenden Leukozytensubtypen beiträgt(96).
95. Flugel, A., Hager, G., Horvat, A., Spitzer, C., Singer, G. M., Graeber, M. B., Kreutzberg, G. W., and Schwaiger, F. W.: Neuronal MCP-1 expression in response to remote nerve injury, J.Cereb.Blood Flow Metab 21:69-76, 2001 96. Yamagami, S., Tamura, M., Hayashi, M., Endo, N., Tanabe, H., Katsuura, Y., and Komoriya, K.: Differential production of MCP-1 and cytokine-induced neutrophil chemoattractant in the ischemic brain after transient focal ischemia in rats, J.Leukoc.Biol. 65:744-749, 1999 |
Im Gehirn kann die Expression von MCP-1 in Neuronen nach Nervenverletzungen nachgewiesen werden. Entsprechende Rezeptoren auf Mikrogliazellen deuten darauf hin, dass dieses Chemokin an Interaktionen von Neuronen und Mikroglia beteiligt ist (FLUGEL et al. 2001). Außerdem spielt es eine Schlüsselrolle bei der Einwanderung von Leukozyten über die Bluthirnschranke (HARKNESS et al. 2003). Studien am ischämischen Gehirn deuten darauf hin, dass MCP-1 eine signifikante Rolle bei der Migration von Makrophagen in die Läsion spielt und dass die unterschiedliche zeitliche Produktion von Chemokinen zur Regulierung von eindringenden Leukozytensubtypen beiträgt (YAMAGAMI et al. 1999). |
Ein Verweis auf die Quelle fehlt. |
|
| [4.] Lcg/Fragment 017 01 - Diskussion Zuletzt bearbeitet: 2015-11-19 03:22:25 Hindemith | Fragment, Gesichtet, Lcg, Mallig 2006, SMWFragment, Schutzlevel sysop, Verschleierung |
|
|
| Untersuchte Arbeit: Seite: 17, Zeilen: 1 ff. (kpl.) |
Quelle: Mallig 2006 Seite(n): 17, 18, Zeilen: 17: 14 ff. - 18: 4 ff. |
|---|---|
| 2.5 Tierexperimentelle Modelle
2.5.1 Experimentelles Schädelhirntrauma In den letzten Jahren wurden verschiedene tierexperimentelle Schädelhirntrauma-Modelle etabliert. Entsprechend der Gewalteinwirkung direkt vs. indirekt ist eine Einteilung in 3 Hauptgruppen sinnvoll:
Bei den Direct-Brain-Deformation-Modellen kommt es über eine Kraniotomie zu einer direkten Krafteinwirkung auf die Dura mater und somit zu einer Komprimierung des Cortex Cerebri ohne zwischengeschaltete energie-absorbierende Strukturen. Beim Fluid-Percussion-Modell(97) wird nach der Trepanation durch Injektion physiologischer Kochsalzlösung eine Druckwelle initiiert, die sich dann im Epiduralraum konzentrisch ausbreitet und damit lokal zu einer Gehirnprellung führt. Durch Variation der Dauer und der Höhe des Flüssigkeitsdruckes kann die Schwere des Traumas beeinflusst werden. Ein weiteres Direct-Brain-Deformation-Modell ist das von Lighthall et al. 1988 entwickelte Controlled-Cortical-Impact-Modell(98). Hierbei wird das Trauma durch einen pneumatisch angetriebenen Impactor (Druckkolben), der auf die durch Trepanation freigelegte intakte Duraoberfläche trifft, ausgelöst. Durch Veränderung der Eindringtiefe und der Aufschlaggeschwindigkeit kann die Schwere des Traumas variiert werden. 97. Dixon, C. E., Lyeth, B. G., Povlishock, J. T., Findling, R. L., Hamm, R. J., Marmarou, A., Young, H. F., and Hayes, R. L.: A fluid percussion model of experimental brain injury in the rat, J.Neurosurg. 67:110-119, 1987 98. Lighthall, J. W.: Controlled cortical impact: a new experimental brain injury model, J.Neurotrauma 5:1-15, 1988 |
2.3 Tierexperimentelle Modelle
2.3.1 Experimentelles Schädelhirntrauma Entsprechend der unterschiedlichen Schädigungsursachen wie die direkte oder indirekte Gewalteinwirkung auf den Schädel bzw. das Gehirn, wurden verschiedene tierexperimentelle Schädelhirntrauma-Modelle etabliert. Im Wesentlichen unterscheidet man zwischen: - „Impact-Acceleration“-Modellen, - „Inertial-Acceleration“-Modellen und - „Direct-Brain-Deformation“-Modellen. [Seite 18] Bei den „Direct-Brain-Deformation“-Modellen kommt es über eine Kraniotomie zu einer direkten Einwirkung auf die Dura mater und somit zu einer Komprimierung des Cortex cerebri ohne zwischengeschaltete energieabsorbierende Strukturen. Hierzu zählt das „Fluid-Percussion“-Modell (RINDER 1969; SULLIVAN et al. 1976; MCINTOSH et al. 1987, 1989; DIXON et al. 1988; CARBONELL u. GRADY 1999), bei dem nach Trepanation der Schädeldecke die Verletzung durch eine impulsartige Injektion physiologischer Kochsalzlösung auf die intakte Duraoberfläche ausgelöst wird. Diese hydraulisch induzierte Druckwelle breitet sich von der Injektionsstelle konzentrisch im Epiduralraum aus und führt lokal zu einer Gehirnprellung. Die Schwere des Traumas kann durch Variieren der Dauer und der Höhe des Flüssigkeitsdruckes, der auf das Gehirn appliziert wird, modifiziert werden. Ebenfalls ein „Direct-Brain-Deformation“-Modell ist das „Rigid-Indentation“-Modell, auch „Controlled-Cortical-Impact“-Modell genannt, das in dieser Studie Verwendung fand. Es wurde an einem Frettchenmodell entwickelt und später auf Ratte und Maus übertragen (LIGHTHALL 1988; DIXON et al. 1991; SMITH et al. 1995). Hierbei löst ein pneumatisch angetriebener „Impactor“ (Schusskolben), der auf die durch Trepanation freigelegte intakte Duraoberfläche trifft, das Trauma aus. Durch Veränderung der Eindringtiefe und -dauer und der Aufschlaggeschwindigkeit kann die Schwere des Traumas variiert werden. CARBONELL, W.S. und M.S. GRADY (1999): Regional and temporal characterization of neuronal, glial, and axonal response after traumatic brain injury in the mouse. Acta Neuropathol.(Berl) 98:396-406 DIXON, C.E., J.W. LIGHTHALL, und T.E. ANDERSON (1988): Physiologic, histopathologic, and cineradiographic characterization of a new fluidpercussion model of experimental brain injury in the rat. J.Neurotrauma 5:91-104 DIXON, C.E., G.L. CLIFTON, J.W. LIGHTHALL, A.A. YAGHMAI, und R.L. HAYES (1991): A controlled cortical impact model of traumatic brain injury in the rat. J.Neurosci.Methods 39:253-262 LIGHTHALL, J.W. (1988): Controlled cortical impact: a new experimental brain injury model. J.Neurotrauma 5:1-15 MCINTOSH, T.K., L. NOBLE, B. ANDREWS, und A.I. FADEN (1987): Traumatic brain injury in the rat: characterization of a midline fluid-percussion model. Cent.Nerv.Syst.Trauma 4:119-134 MCINTOSH, T.K., R. VINK, L. NOBLE, I. YAMAKAMI, S. FERNYAK, H. SOARES, und A.L. FADEN (1989): Traumatic brain injury in the rat: characterization of a lateral fluid-percussion model. Neuroscience 28:233-244 RINDER, L. (1969): "Concussive response" and intracranial pressure changes at sudden extradural fluid volume input in rabbits. Acta Physiol Scand. 76:352-360 SMITH, D.H., H.D. SOARES, J.S. PIERCE, K.G. PERLMAN, K.E. SAATMAN, D.F. MEANEY, C.E. DIXON, und T.K. MCINTOSH (1995): A model of parasagittal controlled cortical impact in the mouse: cognitive and histopathologic effects. J.Neurotrauma 12:169-178 SULLIVAN, H.G., J. MARTINEZ, D.P. BECKER, J.D. MILLER, R. GRIFFITH, und A.O. WIST (1976): Fluid-percussion model of mechanical brain injury in the cat. J.Neurosurg. 45:521-534 |
Trotz Umstellungen und Umformulierungen zeigen sich sprachliche Übereinstimmungen (bei gleichem Inhalt). Da die textlichen Veränderungen im Unterschied zum oft sehr "flächigen" Übernahmemuster auf den Anfangsseiten 1-14 der Arbeit aber deutlich stärker ausfallen, erscheint es denkbar, dass auch eine noch unbekannte andere Quelle mit sehr ähnlichem Inhalt Verwendung gefunden haben könnte. |
|
| [5.] Lcg/Fragment 018 05 - Diskussion Zuletzt bearbeitet: 2015-11-17 22:24:43 Hindemith | Fragment, Gesichtet, Lcg, Mallig 2006, SMWFragment, Schutzlevel sysop, Verschleierung |
|
|
| Untersuchte Arbeit: Seite: 18, Zeilen: 5-12, 15-25 |
Quelle: Mallig 2006 Seite(n): 17, 18, 19, Zeilen: 17: 23ff; 18: 24ff; 19: 1ff |
|---|---|
| Bei den Impact-Acceleration-Modellen wird ein Beschleunigungstrauma durch direkte Gewalteinwirkung auf den Schädel erreicht, wie es beim durch Shapira et al. 1988 etablierten Weight-Drop-Modell(101) der Fall ist. Dieses Modell wurde durch Marmarou et al. 1994 weiterentwickelt und durch Chen et al. 1996 auf die Maus übertragen(102,103). Hierbei wird das Schädelhirntrauma ausgelöst, indem ein definiertes Gewicht aus einer bestimmten Höhe auf den Schädel trifft. Der Schweregrad der Verletzung kann hierbei durch Variieren der Fallhöhe bzw. des Gewichtes verändert werden.
Dieses Modell kam auch in dieser Arbeit in modifizierter Form zur Anwendung und wird in Kapitel 4.4 detailliert beschrieben. 2.5.2 Frakturmodelle und experimenteller hämorrhagischer Schock An vielen Spezies wurden Frakturmodelle für verschiedene Brucharten an unterschiedlichen Knochen, hauptsächlich der Extremitäten, aber auch der Rippen entwickelt(104,105). So kann eine Fraktur beispielsweise durch 3-Punkt-Biegung mit Hilfe einer Zange oder mittels einer Art Guillotine ausgelöst werden(106)). Die meisten Modelle dienen der Untersuchung der Frakturheilung und deren Komplikationen aber auch der Entwicklung und Bewertung verschiedener Osteosyntheseverfahren. Es existieren jedoch auch Frakturmodelle für bestimmte Fragestellungen der Unfallchirurgie, in denen zum Beispiel die Auswirkungen der Fraktur auf den Organismus untersucht werden, etwa ob eine Fraktur, [sic] dass [sic] durch einen hämorrhagischen Schock beeinträchtigte Immunsystem noch weiter beeinflusst(107). 101. Shapira, Y., Shohami, E., Sidi, A., Soffer, D., Freeman, S., and Cotev, S.: Experimental closed head injury in rats: mechanical, pathophysiologic, and neurologic properties, Crit Care Med. 16:258-265, 1988 102. Marmarou, A., Foda, M. A., van den, Brink W., Campbell, J., Kita, H., and Demetriadou, K.: A new model of diffuse brain injury in rats. Part I: Pathophysiology and biomechanics, J.Neurosurg. 80:291-300, 1994 103. Chen, Y., Constantini, S., Trembovler, V., Weinstock, M., and Shohami, E.: An experimental model of closed head injury in mice: pathophysiology, histopathology, and cognitive deficits, J.Neurotrauma 13:557-568, 1996 104. Greiff, J.: A method for the production of an undisplaced reproducible tibial fracture in the rat, Injury 9:278-281, 1978 105. Bonnarens, F. and Einhorn, T. A.: Production of a standard closed fracture in laboratory animal bone, J.Orthop.Res. 2:97-101, 1984 106. Hiltunen, A., Vuorio, E., and Aro, H. T.: A standardized experimental fracture in the mouse tibia, J.Orthop.Res. 11:305-312, 1993 107. Wichmann, M. W., Zellweger, R., DeMaso, C. M., Ayala, A., Williams, C., and Chaudry, I. H.: Immune function is more compromised after closed bone fracture and hemorrhagic shock than hemorrhage alone, Arch.Surg. 131:995- 1000, 1996 |
[Seite 17]
Bei den „Impact-Acceleration“-Modellen wird ein Beschleunigungstrauma durch direkte Gewalteinwirkung auf den Schädel erreicht, wie es beim „Weight-Drop“- Modell der Fall ist (SHAPIRA et al. 1988; MARMAROU et al. 1994; CHEN et al. 1996). Hierbei wird das Schädelhirntrauma ausgelöst, indem ein definiertes Gewicht aus einer bestimmten Höhe auf den Schädel trifft. Der Schweregrad der Verletzung kann hierbei durch Variieren der Fallhöhe bzw. des Gewichtes verändert werden. [Seite 18] 2.3.2 Frakturmodelle und experimenteller hämorrhagischer Schock An vielen Spezies wurden Frakturmodelle für verschiedene Brucharten an unterschiedlichen Knochen, im Wesentlichen der Extremitäten, aber auch der Rippen, entwickelt (GREIFF 1978; BONNARENS u. EINHORN 1984). So kann eine Fraktur beispielsweise durch 3-Punkt-Biegung mit Hilfe einer Zange oder mittels einer Art Guillotine ausgelöst werden (HILTUNEN et al. 1993; OTTO et al. 1995). Die meisten Modelle dienen der Untersuchung der Frakturheilung und deren [Seite 19] Komplikationen als auch der Entwicklung und Bewertung verschiedener Osteosyntheseverfahren. Es existieren jedoch auch Frakturmodelle für bestimmte Fragestellungen der Unfallchirurgie, bei denen primär die Auswirkungen der Fraktur auf den Organismus untersucht werden, beispielsweise ob eine Fraktur das durch einen hämorrhagischen Schock beeinträchtigte Immunsystem noch weiter beeinflusst (WICHMANN et al. 1996). |
Ein Verweis auf die Quelle fehlt. |
|
| [6.] Lcg/Fragment 019 01 - Diskussion Zuletzt bearbeitet: 2015-11-15 14:14:20 Klgn | Fragment, Gesichtet, Lcg, Mallig 2006, SMWFragment, Schutzlevel sysop, Verschleierung |
|
|
| Untersuchte Arbeit: Seite: 19, Zeilen: 1ff (komplett) |
Quelle: Mallig 2006 Seite(n): 19, 20, Zeilen: 19: 7ff; 20: 1ff |
|---|---|
| Um experimentell einen hämorrhagischen Schock auszulösen, wurden ebenfalls verschiedene Modelle an unterschiedlichen Spezies etabliert. Im Wesentlichen unterscheidet man zwischen unkontrollierten und druck- bzw. volumenkontrollierten Schockmodellen. Ein unkontrollierter hämorrhagischer Schock wird durch eine chirurgisch nicht kontrollierte Blutung ausgelöst. Wichtig ist hierbei, dass die Blutung über eine messbare Zeitspanne anhält, dabei ein signifikantes Blutvolumen verloren wird und die Blutung spontan endet(108). Bei dem druckkontrollierten Schockmodell nach Wiggers et al. von 1950 wird die zu entziehende Blutmenge über den Blutdruck reguliert(109). Dem Tier wird so viel Blut abgenommen, bis ein definierter mittlerer arterieller Druck (MAD) erreicht ist. Dieser wird dann bis zur Substitution für eine bestimmte Zeitspanne aufrechterhalten. Das durch Collins et al. 1969 etablierte volumenkontrollierte Schockmodell funktioniert analog, nur wird statt des MAD das abzunehmende Blutvolumen zur Kontrolle herangezogen. Über das Körpergewicht des Tieres wird sein Gesamtblutvolumen errechnet und ein definierter Teil dieses Blutvolumens abgenommen(110).
Um die klinische Situation der Hämorrhagie durch ein Trauma zu simulieren, werden die genannten Schockmodelle mit unterschiedlichen Traumata wie etwa einer Laparotomie oder Frakturen der langen Röhrenknochen kombiniert(107). Da insbesondere die Femurfraktur beim Menschen mit einem starken Blutverlust einhergeht, soll der experimentelle hämorrhagische Schock, der mit einer Femurfraktur kombiniert wird, in erster Linie diesen Blutverlust nachahmen. In der vorliegenden Studie wurde ein volumenkontrollierter hämorrhagischer Schock, mit einer geschlossenen Fraktur des Femurs und einem Schädelhirntrauma (Weight-Drop-Modell) im Sinne eines Polytraumas kombiniert. Die Methoden werden detailliert in Kapitel 4.4 beschrieben. 107. Wichmann, M. W., Zellweger, R., DeMaso, C. M., Ayala, A., Williams, C., and Chaudry, I. H.: Immune function is more compromised after closed bone fracture and hemorrhagic shock than hemorrhage alone, Arch.Surg. 131:995- 1000, 1996 108. Milles, G., Koucky, C. J., and Zacheis, H. G.: Experimental uncontrolled arterial hemorrhage, Surgery 60:434-442, 1966 109. WIGGERS, H. C., GOLDBERG, H., ROEMHILD, F., and INGRAHAM, R. C.: Impending hemorrhagic shock and the course of events following administration of dibenamine, Circulation 2:179-185, 1950 110. Collins, J. A., Braitberg, A., Margraf, H. W., and Butcher, H. R., Jr.: Hemorrhagic shock in rats. Measured blood volumes as the basis for the extent of hemorrhage, Arch.Surg. 99:484-488, 1969 |
Um experimentell einen hämorrhagischen Schock auszulösen, wurden ebenfalls verschiedene Modelle an unterschiedlichen Spezies etabliert. Im Wesentlichen unterscheidet man zwischen unkontrollierten und druck- bzw. volumenkontrollierten Schockmodellen. Ein unkontrollierter hämorrhagischer Schock wird durch eine chirurgisch nicht kontrollierte Blutung ausgelöst. Wichtig ist hierbei, dass die Blutung über eine messbare Zeitspanne anhält, dabei ein signifikantes Blutvolumen verloren wird und die Blutung spontan endet (MILLES et al. 1966). Bei dem druckkontrollierten Schockmodell wird die zu entziehende Blutmenge über den Blutdruck reguliert. Dem Tier wird so viel Blut abgenommen, bis ein definierter mittlerer arterieller Druck (MAD) erreicht ist. Dieser wird dann bis zur Substitution für eine bestimmte Zeitspanne aufrechterhalten (WIGGERS et al. 1950). Das volumenkontrollierte Schockmodell funktioniert analog, nur wird statt des MAD das abzunehmende Blutvolumen zur Kontrolle herangezogen. Über das Körpergewicht des Tieres wird sein Gesamtblutvolumen errechnet und ein definierter Teil dieses Blutvolumens abgenommen (COLLINS et al. 1969).
Um die klinische Situation der Hämorrhagie durch ein Trauma zu simulieren, werden die genannten Schockmodelle mit unterschiedlichen Traumata wie etwa einer Laparotomie oder Frakturen an langen Röhrenknochen kombiniert (WICHMANN et al. 1996). Da insbesondere die Femurfraktur beim Menschen mit einem starken Blutverlust einhergeht, soll der experimentelle hämorrhagische Schock, der mit einer Femurfraktur kombiniert wird, in erster Linie diesen Blutverlust nachahmen. In der vorliegenden Studie fand eine Kombination aus volumenkontrolliertem [Seite 20] hämorrhagischen Schock und einer geschlossenen Fraktur des Femurs Anwendung. Die Methoden werden in Kapitel 4.3.2.2 detailliert beschrieben. |
Ein Verweis auf die Quelle fehlt. |
|
| [7.] Lcg/Fragment 021 01 - Diskussion Zuletzt bearbeitet: 2015-11-17 22:24:49 Hindemith | Fragment, Gesichtet, Lcg, Mallig 2006, SMWFragment, Schutzlevel sysop, Verschleierung |
|
|
| Untersuchte Arbeit: Seite: 21, Zeilen: 7-19 |
Quelle: Mallig 2006 Seite(n): 39, Zeilen: 1ff |
|---|---|
| 4 Material und Methoden
4.1 Versuchstiere Die Studie wurde an 20 männlichen Mäusen des Inzuchtstammes B6; 129S2- IL6tmlKopf (IL-6 Knockout = IL-6-/-), mit einem mittleren Gewicht von 27,6 ± 2,3 g und zur Kontrolle an 16 männlichen Mäusen des Inzuchtstammes C57BL/6J (Wildtyp = WT), mit einem mittleren Körpergewicht von 28,3 ± 2,4 g durchgeführt. Die Tiere stammten aus dem Zentralen Tierlaboratorium der Medizinischen Hochschule Hannover. Sie wurden in Gruppengrößen von vier bis sechs Tieren in Makrolon®-Käfigen Typ III (Tecniplast, Buguggiate, Italien) unter kontrollierten Umweltbedingungen bei einer Raumtemperatur von 20°C ± 2°C und einem 12-h- Tages-Nacht-Rhythmus gehalten. Die Tiere erhielten ein pelletiertes Alleinfuttermittel (Altromin® 1324, Altromin GmbH, Lage) ad libitum und hatten über Makrolon®- Flaschen stets freien Zugang zu Trinkwasser. Als Einstreu fand ein Standardweichholzgranulat für Labortiere (Altromin GmbH, Lage) Verwendung. Zweimal pro Woche wurden die Tiere in neue Käfige mit frischem Trinkwasser und Futterpellets umgesetzt. Die Versuche der WT- und IL-6-/- Mäuse wurden von der Bezirksregierung Hannover unter dem Aktenzeichen 08/1478 am 03.06.2008 und unter dem Aktenzeichen 03/672 am 10.07.2003, Verlängerung am 14.01.2005, genehmigt. |
4 MATERIAL UND METHODEN
Eine Auflistung des in dieser Studie verwendeten Materials befindet sich im Anhang (Kapitel 10). 4.1 Versuchstiere Die Studie wurde an 34 männlichen Mäusen des Inzuchtstammes C57BL/6 mit einem mittleren Körpergewicht von 23,0 ± 3,1 g durchgeführt. Die Tiere stammten aus dem Zentralen Tierlaboratorium der Medizinischen Hochschule Hannover. Sie wurden in Gruppengrößen von vier bis sechs Tieren in Makrolon®-Käfigen Typ III (Tecniplast, Buguggiate, Italien) unter kontrollierten Umweltbedingungen bei einer Raumtemperatur von 20°C ± 2°C und einem 12-h-Tages-Nacht-Rhythmus gehalten. Die Tiere erhielten ein pelletiertes Alleinfuttermittel (Altromin® 1324, Altromin GmbH, Lage) ad libitum und hatten über Makrolon®-Flaschen stets freien Zugang zu Trinkwasser. Als Einstreu fand ein Standardweichholzgranulat für Labortiere (Altromin GmbH, Lage) Verwendung. Zweimal pro Woche wurden die Tiere in neue Käfige mit frischem Trinkwasser und Futterpellets umgesetzt. Die Versuche waren von der Bezirksregierung Hannover unter dem Aktenzeichen 03/672 am 10.07.2003, Verlängerung am 14.01.2005, genehmigt worden. |
Ein Verweis auf die Quelle fehlt. Zwar nur die Versuchsbeschreibung, aber diese ist kopiert. |
|
| [8.] Lcg/Fragment 023 01 - Diskussion Zuletzt bearbeitet: 2015-11-17 22:24:55 Hindemith | Fragment, Gesichtet, Lcg, Mallig 2006, SMWFragment, Schutzlevel sysop, Verschleierung |
|
|
| Untersuchte Arbeit: Seite: 23, Zeilen: 1-17 |
Quelle: Mallig 2006 Seite(n): 44, Zeilen: 2ff |
|---|---|
| 4.3 Studienablauf
Zwei Tage vor der Durchführung des Traumas wurde nach der Visite, die immer aus der Ermittlung der klinischen Untersuchungsparameter (Gewicht, Körperkerntemperatur, Aktivität und Ohrdicke) bestand, die Sensibilisierung der Mäuse am Rücken mit 1%igem DNFB (2,4-Dinitrofluorobenzen) für die spätere Messung der Hypersensibilitätsreaktion vom verzögerten Typ (Typ-IV-Reaktion) durchgeführt. Vierundzwanzig Stunden später wurde eine weitere Visite durchgeführt, die dazu diente, eine mögliche Reaktion auf die DNFB-Sensibilisierung zu erkennen. Unmittelbar vor der Durchführung des Traumas fand dann die nächste Visite statt (Visite 0). Die folgenden drei Visiten (12 h, 24 h und 48 h nach Trauma) dienten der Erfassung der klinischen Untersuchungsparameter und der Ohrdicke. Nach 72h post Trauma wurden die Tiere erneut mit 0,5% DNFB dorsal am rechten Ohr in Kontakt gebracht. Durch diesen Zweitkontakt wurde die Hypersensibilitätsreaktion vom Typ IV ausgelöst (T-Zell vermittelt), die 24 Stunden später (96-h post Trauma) anhand der Ohrdickenzunahme quantitativ erfasst werden konnte. Dieser Visite folgte die Euthanasie der Tiere, die Organentnahme und die entsprechende Aufbereitung und Auswertung der Proben. |
4.3.1 Studienablauf
Mindestens zwei Tage vor der Durchführung des Traumas wurde nach der Visite, die immer aus der Ermittlung der klinischen Untersuchungsparameter und der Ohrdicke bestand, die Sensibilisierung der Mäuse am Rücken mit 1%igem DNFB (2,4-Dinitrofluorobenzen) für die spätere Messung der Hypersensibilitätsreaktion vom verzögerten Typ (Typ-IV-Reaktion; Kapitel 4.3.4) durchgeführt. Vierundzwanzig Stunden später wurde eine weitere Visite durchgeführt, die dazu diente, eine mögliche Reaktion auf die DNFB-Sensibilisierung zu erkennen. Unmittelbar vor der Durchführung des Traumas fand dann die nächste Visite statt (Visite 0). Die folgenden drei Visiten (12 h, 24 h und 48 h nach Trauma) dienten der Erfassung der klinischen Untersuchungsparameter und der Ohrdicke. Nach Erhebung der Untersuchungsparameter der 72-h-Visite wurden die Tiere erneut mit DNFB in Kontakt gebracht, diesmal 0,5%ig dorsal am rechten Ohr und somit die Hypersensibilitätsreaktion vom Typ IV ausgelöst, die 24 Stunden später (bei der 96-h-Visite) anhand der Ohrdickenzunahme quantitativ erfasst werden konnte. Dieser Visite folgte die Euthanasie der Tiere, die Organentnahme und die entsprechende Aufbereitung und Auswertung der Proben. |
Ein Verweis auf die Quelle fehlt. Zwar nur eine Beschreibung des Studienablaufs, aber diese ist kopiert. |
|
| [9.] Lcg/Fragment 025 01 - Diskussion Zuletzt bearbeitet: 2015-11-15 14:50:02 Klgn | Fragment, Gesichtet, Lcg, Mallig 2006, SMWFragment, Schutzlevel sysop, Verschleierung |
|
|
| Untersuchte Arbeit: Seite: 25, Zeilen: 1ff (komplett) |
Quelle: Mallig 2006 Seite(n): 48, 49, Zeilen: 48: 4ff; 49: 1ff |
|---|---|
| 4.4.1 Femurfraktur
Der rechte Femurschaft des Tieres wurde mit Hilfe einer nach Hiltunen et al. modifizierten Frakturmaschine (Abbildung 4) mit einem standardisierten Gewicht von 400 g und einer Fallhöhe von 160 mm frakturiert. Dazu wurde nach der Kontrolle der Narkosetiefe palpatorisch der rechte Femur aufgesucht und mittig unter der Frakturmaschine fixiert. Das definierte Gewicht wurde auf den Stempel fallen gelassen und somit das Trauma initiiert. Anschließend wurde durch Überprüfen von Krepitation und pathologischer Beweglichkeit in der Frakturzone der Bruch kontrolliert. In den Fällen, in denen keine Fraktur aufzufinden war, wurde die Traumatisierung wiederholt und dies protokolliert. Der Bruch wurde geschlossen reponiert und mit einer Schiene versorgt. 4.4.2 Hämorrhagischer Schock Unmittelbar nach Durchführung der Femurfraktur wurde dem Tier noch in Narkose durch Punktion des retrobulbären Venenplexus 60% seines Blutvolumens abgenommen. Hierbei wurde nach Stauen der Halsgefäße durch Zwangsgriff im Nackenbereich eine heparinisierte (Liquemin® N 25000, Hoffmann-La Roche AG, Grenzach-Wyhlen) Hämatokrit-Glaskapillare (End-to-End, 20μl K2 EDTA, Sarstedt,) vorsichtig unter leichten Drehbewegungen am nasalen Augenwinkel in Richtung auf das kontralaterale Kiefergelenk eingeführt bis die knöcherne Orbita erreicht wurde. Durch leichtes Zurückziehen der Kapillare stieg das Blut auf. Die Menge des abzunehmenden Blutes war zuvor mittels folgender Formel errechnet worden: Formel 1: Formel zum Errechnen der abzunehmenden Blutmenge für den hämorrhagischen Schock; 33,3 = mittlerer Hämatokrit; 20 μl = Volumen der Hämatokrit-Glaskapillare; 1,1 mg/μl = Dichte von Mäuseblut |
Femurfraktur:
Der rechte Femurschaft des Tieres wurde mit Hilfe einer nach HILTUNEN et al. (1993) modifizierten Frakturmaschine (Abbildung 5) mit einem standardisierten Gewicht von 400 g und einer Fallhöhe von 160 mm frakturiert. Dazu wurde nach der Kontrolle der Narkosetiefe palpatorisch der rechte Femur aufgesucht und mittig unter der Frakturmaschine fixiert. Das definierte Gewicht wurde auf den Stempel fallen gelassen und somit das Trauma durchgeführt. Anschließend wurde durch Überprüfen von Krepitation und Beweglichkeit in der Frakturzone der Bruch kontrolliert. In den Fällen, in denen keine Fraktur aufzufinden war, wurde die Traumatisierung wiederholt und dies protokolliert. Der Bruch wurde geschlossen reponiert und mit einer Schiene versorgt. [Seite 49] Hämorrhagischer Schock: Unmittelbar nach Durchführung der Femurfraktur wurde dem Tier durch Punktion des retrobulbären Venenplexus 60% seines Blutvolumens abgenommen. Hierbei wurde nach Stauen der Halsgefäße durch Zwangsgriff im Nackenbereich eine heparinisierte (Liquemin® N 25000, Hoffmann-La Roche AG, Grenzach-Wyhlen) Hämatokrit-Glaskapillare (End-to-End, 20μl K2 EDTA, Sarstedt,) vorsichtig unter leichten Drehbewegungen am nasalen Augenwinkel in Richtung auf das kontralaterale Kiefergelenk eingeführt bis die knöcherne Orbita erreicht wurde. Durch leichtes Zurückziehen der Kapillare stieg das Blut auf. Die Menge des abzunehmenden Blutes war zuvor mittels folgender Formel errechnet worden: Formel 1: Formel zum Errechnen der abzunehmenden Blutmenge für den hämorrhagischen Schock; 33,3 = mittlerer Hämatokrit; 20 μl = Volumen der Hämatokrit-Glaskapillare (steht beim Wiegen nicht zur Verfügung); 1,1 mg/μl = Dichte von Mäuseblut |
Ein Verweis auf die Quelle fehlt. |
|
| [10.] Lcg/Fragment 026 01 - Diskussion Zuletzt bearbeitet: 2015-11-17 22:25:01 Hindemith | Fragment, Gesichtet, Lcg, Mallig 2006, SMWFragment, Schutzlevel sysop, Verschleierung |
|
|
| Untersuchte Arbeit: Seite: 26, Zeilen: 1ff (komplett) |
Quelle: Mallig 2006 Seite(n): 46, 49, Zeilen: 46: 1ff; 49: 11ff |
|---|---|
| Das Blut wurde in einem sich auf einer Feinwaage (Typ L 610, Sartorius GmbH, Göttingen) befindenden Eppendorfröhrchen (Eppendorf, Hamburg) gesammelt und dadurch die Blutmenge während des Abnehmens kontrolliert.
Der hypovolämische Zustand der Tiere wurde für 60 Minuten aufrechterhalten. Während dieser Zeit befanden sie sich unter einer Wärmelampe, um eine Hypothermie zu vermeiden. Danach wurde zur Volumensubstitution sterile Ringer- Lactat-Lösung (Braun, Melsungen) in vierfacher Menge des entnommenen Blutvolumens intraperitoneal appliziert. 4.4.3 Schädelhirntrauma Die Erzeugung des geschlossenen Schädelhirntraumas erfolgte mit Hilfe des modifizierten Modells nach Shapira et al. (Abbildung 5). Der Kopf des tief narkotisierten Tieres wurde in einem stereotaktischen Rahmen fixiert und eine Mittellinieninzision der Haut durchgeführt. Nach Abspannen der Kopfhaut nach lateral und erfolgter Blutstillung wurde die Sutura sagittalis und kaudal die Sutura coronalis aufgesucht. Der Druckkolben mit einem Durchmesser von 3 mm wurde links der Sutura sagittalis und kaudal der Sutura coronalis positioniert. Ansteuerung und Geschwindigkeitsmessung erfolgten mit der auf einem Laptop installierten Software ,,Labview“ (National Instruments, Austin, USA). Mittels Sensoren an der SHT-Maschine wurde die Beschleunigung und die Wegstrecke ermittelt und unmittelbar nach dem Auftreffen auf der Kalotte auf dem Laptop angezeigt. Die mittlere Geschwindigkeit lag bei 3 m/s. Unmittelbar vor der Traumaapplikation wurde die Geschwindigkeit des Schusszylinders nochmals mit Probeschüssen überprüft. Nach erfolgter Traumatisierung wurden die Kopfhaut mit etwa vier Einzelheften aus nichtresorbierbarem Nahtmaterial (4.0 Prolene, Ethicon, Norderstedt) verschlossen. |
4.3.2.1 Gruppe 1: Schädelhirntrauma
Die Erzeugung des Schädelhirntraumas erfolgte an 10 Tieren mit Hilfe des CCI-Modells („Controlled Cortical Impact“), einer etablierten Methode zur Induktion einer fokalen Kontusion. Eine Darstellung der Versuchsvorrichtung und des Schusskolbens zur Durchführung des CCI befindet sich in den Abbildung 3 und 4. Der Kopf des tief narkotisierten Tieres wurde in einem stereotaktischen Rahmen fixiert und eine Mittellinieninzision der Haut durchgeführt. Nach Abspannen der Kopfhaut nach lateral und erfolgter Blutstillung wurde mit Hilfe eines Bohr-/Fräsgeräts (Minimot 40/E, Proxxon, Hellweg) eine kreisförmige Kraniotomie mit einem Durchmesser von 4 mm links der Sutura sagittalis und kaudal der Sutura coronalis so angelegt, dass die Dura mater unverletzt blieb. Der auf einer stereotaktischen Halterung fixierte pneumatische Schusskolben (nach SMITH et al. 1995) mit einem Durchmesser von 3 mm (Abbildung 4) wurde nun mittig über der Kraniotomie positioniert. Dabei betrug der seitliche Neigungswinkel 22° zur Vertikalen. Die Eindringtiefe wurde mit 1 mm ab dem höchsten Punkt der Dura mater eingestellt und die Verweildauer mit 150 ms festgelegt. Über zwei getrennt ansteuerbare, pneumatische Ventile wurde mit Hilfe des eingestellten Druckes die Stange mit dem an der Spitze angebrachten Kolben nach unten geschossen, verblieb in dieser Endposition über eine definierte Zeit, um danach zurückzuspringen. Ansteuerung und Geschwindigkeitsmessung erfolgten mit der auf einem Laptop installierten Software „Labview“ (National Instruments, Austin, USA). Mit Hilfe eines hinter dem Schusskolben angebrachten laseroptischen Abstandsmessungssystems (optoNCDT, Mikro Epsilon Messtechnik, Ortenburg) wurde die Einschlaggeschwindigkeit laseroptisch ermittelt und unmittelbar nach dem Schuss auf dem Laptop angezeigt. Die mittlere Einschlaggeschwindigkeit lag bei 3 m/s. Unmittelbar vor der Traumaapplikation wurde die Geschwindigkeit des Schusszylinders nochmals mit Probeschüssen überprüft. Nach erfolgter Kontusionsverletzung wurden die Kopfhaut mit etwa vier Einzelheften aus nichtresorbierbarem Nahtmaterial (4.0 Prolene, Ethicon, Norderstedt) verschlossen. [Seite 49] Das Blut wurde in einem sich auf einer Feinwaage (Typ L 610, Sartorius GmbH, Göttingen) befindenden Eppendorfröhrchen (Eppendorf, Hamburg) gesammelt und dadurch die Blutmenge während des Abnehmens kontrolliert. Der hypovolämische Zustand der Tiere wurde für 60 Minuten aufrecht erhalten. Während dieser Zeit befanden sie sich unter einer Wärmelampe, um eine Hypothermie zu vermeiden. Danach wurde zur Volumensubstitution sterile Ringer- Lactat-Lösung (Braun, Melsungen) in vierfacher Menge des entnommenen Blutvolumens intraperitoneal appliziert. |
Ein Verweis auf die Quelle fehlt. |
|
| [11.] Lcg/Fragment 028 01 - Diskussion Zuletzt bearbeitet: 2015-11-17 22:25:08 Hindemith | Fragment, Gesichtet, Lcg, Mallig 2006, SMWFragment, Schutzlevel sysop, Verschleierung |
|
|
| Untersuchte Arbeit: Seite: 28, Zeilen: 1ff (komplett) |
Quelle: Mallig 2006 Seite(n): 42, Zeilen: 1ff |
|---|---|
| 4.5 Übersicht Untersuchungsparameter
Um die Auswirkungen der durchgeführten Traumata beurteilen zu können, wurden folgende Parameter untersucht: Tabelle 2: Parameter zur Beurteilung der Ausbildung eines SIRS nach Trauma |
4.2.2 Untersuchungsparameter
Um die Auswirkungen der durchgeführten Traumata bewerten zu können, wurden folgende, in Tabelle 9 dargestellte, Parameter untersucht. Tabelle 9: Durchgeführte Untersuchungen, entnommene Organe und gemessene Parameter |
Ein Verweis auf die Quelle fehlt. Es gibt leichte Unterschiede in der Tabelle. |
|
| [12.] Lcg/Fragment 029 01 - Diskussion Zuletzt bearbeitet: 2015-11-17 22:25:14 Hindemith | Fragment, Gesichtet, Lcg, Mallig 2006, SMWFragment, Schutzlevel sysop, Verschleierung |
|
|
| Untersuchte Arbeit: Seite: 29, Zeilen: 1ff (komplett) |
Quelle: Mallig 2006 Seite(n): 42, 43, 50, Zeilen: 42: letzte Zeilen; 43: 1ff; 50: 10ff |
|---|---|
| 4.6 Klinische Untersuchungsparameter
Um eine Aussage über die Letalität bzw. Überlebensrate zu erhalten, wurden die Todeszeitpunkte der Tiere bei den Visiten notiert. Für die Beurteilung des klinischen Allgemeinzustandes wurden Körpergewicht, Körperkerntemperatur und die Aktivität erfasst. Die Körperkerntemperatur wurde rektal mit einem digitalen Thermometer (Typ GTH 1200, Greisinger Electronic GmbH, Regenstauf) gemessen. Anschließend wurde das Körpergewicht der Tiere ermittelt (Typ P1200, Mettler-Waagen GmbH, Gießen). Die Aktivität der Mäuse wurde anhand der in Tabelle 3 abgebildeten Skala beurteilt. Hierbei wurde je nach Verhalten des Tieres die Aktivität von 1 (moribund) bis 6 (sehr aktiv) bewertet(111). Tabelle 3: Skala zur Beurteilung der Aktivität der Versuchstiere anhand definierter Aktivitätsgrade durch spezifische Verhaltensmerkmale nach van Griensven. 111. Van Griensven, M., Kuzu, M., Breddin, M., Bottcher, F., Krettek, C., Pape, H. C., and Tschernig, T.: Polymicrobial sepsis induces organ changes due to granulocyte adhesion in a murine two hit model of trauma, Exp.Toxicol.Pathol. 54:203-209, 2002 |
4.2.2 Untersuchungsparameter
[...] Um eine Aussage über die Letalität bzw. Überlebensrate zu erhalten, wurden die Todeszeitpunkte der Tiere dokumentiert. Außerdem wurden Untersuchungsparameter wie Körpergewicht, Körperinnentemperatur und die [Seite 43] Aktivität der Tiere erfasst, um den klinischen Allgemeinzustand der Tiere beurteilen zu können. [Seite 50] Die Aktivität der Mäuse wurde anhand der in Tabelle 11 abgebildeten Skala beurteilt. Hierbei wurden je nach beobachtetem Verhalten der Tiere eine Kennzahl von 1 (moribund) bis 6 (sehr aktiv) vergeben. Tabelle 11: Skala zur Beurteilung der Aktivität der Versuchstiere anhand definierter Aktivitätsgrade durch spezifische Verhaltensmerkmale Anschließend wurde die Körperinnentemperatur rektal mit einem digitalen Thermometer (Typ GTH 1200, Greisinger Electronic GmbH, Regenstauf) gemessen. Außerdem wurde das Körpergewicht der Tiere ermittelt (Typ P1200, Mettler-Waagen GmbH, Gießen). |
Ein Verweis auf die Quelle fehlt. |
|
| [13.] Lcg/Fragment 030 01 - Diskussion Zuletzt bearbeitet: 2015-11-17 22:25:21 Hindemith | Fragment, Gesichtet, Lcg, Mallig 2006, SMWFragment, Schutzlevel sysop, Verschleierung |
|
|
| Untersuchte Arbeit: Seite: 30, Zeilen: 1ff (komplett) |
Quelle: Mallig 2006 Seite(n): 50, 51, Zeilen: 50: 17ff; 51: 1ff |
|---|---|
| 4.7 T-Zell-vermittelte Typ IV-Reaktion
Für die Erfassung des Immunstatus der Tiere wurde eine T-Zell-vermittelte Typ-IV-Reaktion mittels DNFB (2,4 Dinitroflourobenzen) ausgelöst. 24 Stunden nach Zweitkontakt (Challenge) mit dem Antigen konnte die Ödemreaktion am rechten Ohr quantitativ als Ohrdickenzunahme beobachtet werden. Um diese berechnen zu können, wurde die Ohrdicke des rechten Ohres bei jeder Visite mit Hilfe eines Präzisionsmikrometers (Oditest®, Kroeplin GmbH, Schlüchtern) gemessen. Die Kontaktsensibilisierung mittels epikutaner Applikation von 50 μl 1%igem DNFB (DNFB, Sigma-Aldrich Chemie GmbH, Steinheim) am teilrasierten Rücken wurde nach der ersten Visite, 48 Stunden vor Trauma durchgeführt. Der wiederholte Antigenkontakt (Challenge) fand 24 Stunden vor der Organentnahme statt (72h Visite). Hierbei wurden 50 μl 0,5%iges DNFB epikutan auf der dorsalen Seite des rechten Ohres der Mäuse aufgetragen. Das Protokoll für die Herstellung des 1%igen bzw. 0,5%igen DNFB-Ansatzes befindet sich im Anhang. Zur Quantifizierung der Immunantwort, die als inflammatorische Ödemreaktion imponierte, diente der Quotient der Ohrdicke 24 Stunden nach Zweitkontakt (96h Visite) und der Ohrdicke vor diesem Zweitkontakt jedoch nach Erstsensibilisierung (72h Visite). Formel 2: Formel zur Berechnung der relativen Veränderung der Ohrdicke |
4.3.4 Durchführung der T-Zell-vermittelten Typ IV-Reaktion
Für die Erfassung des Immunstatus der Tiere wurde eine T-Zell-vermittelte Typ-IV-Reaktion ausgelöst. Zu ihrer Quantifizierung diente die Ödemreaktion 24 Stunden nach Zweitkontakt (Challenge) mit dem Antigen DNFB [Seite 51] (2,4-Dinitrofluorobenzen) am rechten Ohr der Mäuse, welche sich als Ohrdickenzunahme darstellt. Um diese berechnen zu können, wurde die Ohrdicke des rechten Ohres bei jeder Visite mit Hilfe eines Präzisionsmikrometers (Oditest®, Kroeplin GmbH, Schlüchtern) gemessen. Die Kontaktsensibilisierung mittels epikutaner Applikation von 50 μl 1%igem 2,4-Dinitrofluorobenzen (DNFB, Sigma-Aldrich Chemie GmbH, Steinheim) am teilrasierten Rücken wurde nach der ersten Visite, die mindestens 48 Stunden vor der Durchführung des Traumas stattfand (Visite -48) durchgeführt. Eine vierundzwanzig Stunden später durchgeführte Visite (Visite –24) diente dazu, eine mögliche Reaktion auf die DNFB-Sensibilisierung zu erkennen. Der wiederholte Antigenkontakt (Challenge) fand bei der 72-h-Visite, also 24 Stunden vor der Organentnahme statt. Hierbei wurden 50 μl 0,5%iges DNFB epikutan auf der dorsalen Seite des rechten Ohres der Mäuse aufgetragen. Das Protokoll für die Herstellung des 1%igen bzw. 0,5%igen DNFB-Ansatzes befindet sich im Anhang. Als Maß für die inflammatorische Ödemreaktion und somit zur Quantifizierung der Immunantwort diente der Quotient der Ohrdicke 24 Stunden nach Zweitkontakt (direkt vor der Organentnahme) und der Ohrdicke vor diesem Zweitkontakt jedoch nach Erstsensibilisierung. Formel 2: Formel zur Bestimmung der relativen Ohrdickenveränderung |
Ein Verweis auf die Quelle fehlt. |
|
| [14.] Lcg/Fragment 031 01 - Diskussion Zuletzt bearbeitet: 2015-11-17 22:25:28 Hindemith | Fragment, Gesichtet, Lcg, Mallig 2006, SMWFragment, Schutzlevel sysop, Verschleierung |
|
|
| Untersuchte Arbeit: Seite: 31, Zeilen: 1ff (komplett) |
Quelle: Mallig 2006 Seite(n): 51, 52, 55, Zeilen: 51: 20ff; 52: 1ff; 55: 6ff |
|---|---|
| 4.8 Blut- und Organentnahme
Die Probengewinnung fand 96 Stunden nach Durchführung des Traumas statt. Dazu wurden die mit Ketamin (100 mg/kg Körpergewicht) und 2%igem Xylazin (16 mg/kg Körpergewicht) narkotisierten Tiere durch Exsanguination getötet. Nach erfolgter medianer Laparotomie und Eröffnung der Brusthöhle wurde das Herz mit einer mit Heparin (Liquemin® N 25000) benetzten Spritze punktiert. Das gewonnene Vollblut wurde fünf Minuten bei Raumtemperatur und 1750 rpm zentrifugiert. Der Plasmaüberstand wurde abpipettiert, in flüssigem Stickstoff (Linde, Hannover) tiefgefroren und bis zur weiteren Untersuchung bei -80°C gelagert. Zur Fixierung wurde das Gehirn über das Herz-Kreislauf-System mit 4%iger phosphatgepufferter Formalinlösung (Herstellung: siehe Anhang) perfundiert, entnommen und fixiert. Daraufhin wurde die Lunge mit 4%iger phosphatgepufferter Formalinlösung perfundiert und in einem Gläschen mit Formalinlösung fixiert. Von der Milz wurde ca. 1/3 durch ein Sieb gerieben und mit einigen Tropfen Natriumchlorid verdünnt. Diese Suspension wurde mit Hilfe einer Spritze aufgenommen und bis zur weiteren Aufbereitung für die Analyse der Lymphozytensubpopulation in einem Eppendorfröhrchen auf Eis gelagert. Der Rest der Milz sowie die Nieren und der rechte Leberlappen wurden für spätere histologische Untersuchungen in phosphatgepufferter Formalinlösung fixiert. 4.9 Aufbereitung und Auswertung der Proben 4.9.1 Histologische Aufbereitung Die nach der Organentnahme in 4%igem gepufferten Formalin fixierten Organe (Lunge, Leber, Milz, Niere und Gehirn) wurden in entsprechende Einbettkassetten (Roth, Karlsruhe) verbracht und über Nacht mit Hilfe eines Einbettautomaten mit [Einkammersystem (Shandon, Frankfurt) in Paraffin (Gewebeeinbettmittel, Vogel- Histo-Comp®, Vogel, Gießen) eingebettet.] |
4.3.5 Blut- und Organentnahme
Die Probengewinnung fand 96 Stunden nach Durchführung des Traumas statt. Dazu wurden die mit Ketamin (100 mg/kg Körpergewicht) und 2%igem Xylazin (16 mg/kg Körpergewicht) narkotisierten Tiere durch Exsanguination getötet. Nach erfolgter medianer Laparotomie und Eröffnung der Brusthöhle wurde das Herz mit einer mit Heparin (Liquemin® N 25000, Hoffmann-La Roche, Grenzach-Wyhlen) benetzten Spritze punktiert. Das gewonnene Vollblut wurde fünf Minuten bei [Seite 52] Raumtemperatur und 1750×g zentrifugiert (Labofuge 400R, Heraeus Instruments, Hanau). Der Plasmaüberstand wurde abpipettiert, in flüssigem Stickstoff (Linde, Hannover) tiefgefroren und bis zur weiteren Untersuchung bei -80°C gelagert (Gefriertruhe Typ 6385, GFL, Burgwedel). Zur Fixierung wurde das Gehirns über das Herz-Kreislauf-System mit 4%iger phosphatgepufferter Formalinlösung (Herstellung: siehe Anhang) perfundiert. [...] Die Lunge wurde mit 4%iger phosphatgepufferter Formalinlösung perfundiert und in einem Gläschen mit Formalinlösung fixiert. Des weiteren wurde die Milz entnommen. Etwa ein Drittel der Milz wurde abgetrennt, durch ein Sieb gerieben, mit einigen Tropfen Natriumchlorid verdünnt, mit Hilfe einer Spritze aufgenommen und bis zur weiteren Verarbeitung und durchflusszytometrischen Messung der darin enthaltenen Lymphozyten in einem Eppendorfröhrchen auf Eis gelagert. Außerdem wurden die Nieren und der rechte Leberlappen für histologische Untersuchungen abpräpariert und in einem Gläschen mit 4%igem Formalin fixiert. Das Gehirn wurde entnommen und ebenfalls in Formalin für 24 Stunden fixiert. 4.4 Aufbereitung und Auswertung der Proben [Seite 55] 4.4.2 Histologische Aufbereitung Die nach der Organentnahme in 4%igem gepufferten Formalin fixierten Organe (Lunge, Leber, Milz, Niere und Gehirn) wurden in entsprechende Einbettkassetten (Roth, Karlsruhe) verbracht und über Nacht mit Hilfe eines Einbettautomaten mit Einkammersystem (Shandon, Frankfurt) in Paraffin (Gewebeeinbettmittel, Vogel-Histo-Comp®, Vogel, Gießen) eingebettet. |
Ein Verweis auf die Quelle fehlt. |
|
| [15.] Lcg/Fragment 032 01 - Diskussion Zuletzt bearbeitet: 2015-11-17 22:25:34 Hindemith | Fragment, Gesichtet, Lcg, Mallig 2006, SMWFragment, Schutzlevel sysop, Verschleierung |
|
|
| Untersuchte Arbeit: Seite: 32, Zeilen: 1ff (komplett) |
Quelle: Mallig 2006 Seite(n): 55, 56, Zeilen: 55: 6ff; 56: 1ff |
|---|---|
| 4.9.1 Histologische Aufbereitung
[Die nach der Organentnahme in 4%igem gepufferten Formalin fixierten Organe (Lunge, Leber, Milz, Niere und Gehirn) wurden in entsprechende Einbettkassetten (Roth, Karlsruhe) verbracht und über Nacht mit Hilfe eines Einbettautomaten mit] Einkammersystem (Shandon, Frankfurt) in Paraffin (Gewebeeinbettmittel, Vogel- Histo-Comp®, Vogel, Gießen) eingebettet. Mit einem Microtom (HM 355, MICROM GmbH, Walldorf) wurden Schnitte von Lunge, Leber, Milz und Niere mit einer Dicke von 5 μm angefertigt. Vom Gehirn wurden ab dem Übergang des Bulbus olfactorius zum Cerebrum bis zum Erreichen des Cerebellums 3 μm dicke Schnitte präpariert. Es wurden pro Gehirn vier annähernd gleiche Serien von vier Objektträgern angefertigt. Pro Objektträger wurden drei Hirnschnitte aufgenommen während dazwischen, außer in der Traumaregion (Bregma -1 mm bis Bregma -3 mm) ungefähr 30 Schnitte verworfen wurden. Alle aufgenommenen und verworfenen Gehirnschnitte wurden in einer Tabelle dokumentiert. Bei den restlichen Organen wurden jeweils zwei bis drei repräsentative Schnitte aufgenommen. Die Schnitte wurden dabei vorsichtig mit einem Pinsel von dem Messer abgelöst und zum Strecken in ein auf knapp 40°C beheiztes Wasserbad (GFL® Typ 1052, GFL, Burgwedel) überführt. Von dort wurden sie mit einem Objektträger (Super Frost Plus, Menzel Gläser, Braunschweig) aufgenommen und zum Trocknen in eine verschließbare Präparatemappe gelegt. Nach einer Trocknungszeit von mindestens 24 Stunden wurden die Präparate gefärbt. Dabei wurden die histologischen Schnitte von Lunge, Leber, Milz und Niere mit Hämatoxylin und Eosin (H.-E.) gefärbt, die Gehirnhistologien wurden sowohl einer H.E.- als auch einer Nissl-Färbung mit Kresylviolett und den immunhistochemischen Färbungen GFAP und APP unterzogen. Bei allen Färbungen wurden die Präparate zum Entfernen des Paraffins zweimal für zehn Minuten in Xylol (J.T. Baker, Deventer, Niederlande) verbracht. Die Rehydrierung erfolgte mit Hilfe einer absteigenden Alkoholreihe. |
4.4.2 Histologische Aufbereitung
Die nach der Organentnahme in 4%igem gepufferten Formalin fixierten Organe (Lunge, Leber, Milz, Niere und Gehirn) wurden in entsprechende Einbettkassetten (Roth, Karlsruhe) verbracht und über Nacht mit Hilfe eines Einbettautomaten mit Einkammersystem (Shandon, Frankfurt) in Paraffin (Gewebeeinbettmittel, Vogel-Histo-Comp®, Vogel, Gießen) eingebettet. Mit einem Microtom (HM 355, MICROM GmbH, Walldorf) wurden Schnitte mit einer Dicke von 5 μm angefertigt. Dabei wurden die Gehirne vom Übergang des Bulbus olfactorius zum Cerebrum bis zum Erreichen des Cerebellums in Serien von jeweils fünf Objektträgern angefertigt, bei denen alternierend zweimal zwei Gehirnschnitte pro Objektträger aufgenommen wurden, während dazwischen außer in der Traumaregion, die etwa zwischen Bregma -0,7 mm und Bregma -2,9 mm lag, ungefähr 30 Schnitte verworfen wurden. Alle aufgenommenen und verworfenen Gehirnschnitte wurden in einer Tabelle dokumentiert. Bei den restlichen Organen wurden jeweils zwei bis drei repräsentative Schnitte aufgenommen. Die Schnitte wurden dabei vorsichtig mit einem Pinsel von dem Messer abgelöst und zum Strecken in ein auf knapp 40°C beheiztes Wasserbad (GFL® Typ 1052, GFL, Burgwedel) überführt. Von dort wurden sie mit einem Objektträger (Super Frost Plus, Menzel Gläser, Braunschweig) aufgenommen und zum Trocknen in eine verschließbare Präparatemappe gelegt. Nach einer Trocknungszeit von mindestens 24 Stunden wurden die Präparate gefärbt. Dabei wurden Lunge, Leber, Milz und Niere mit Hämatoxylin und Eosin gefärbt, das Gehirn sowohl einer H.E.- als auch einer Nissl-Färbung mit Kresylviolett und einer immunhistochemischen GFAP-Färbung unterzogen. Bei allen Färbungen wurden die Präparate zum Entfernen des Paraffins zweimal für zehn Minuten in Xylol [Seite 56] (J.T. Baker, Deventer, Niederlande) verbracht. Die Rehydrierung erfolgte mit Hilfe einer absteigenden Alkoholreihe. |
Ein Verweis auf die Quelle fehlt. |
|
| [16.] Lcg/Fragment 033 01 - Diskussion Zuletzt bearbeitet: 2015-11-19 03:22:32 Hindemith | Fragment, Gesichtet, Lcg, Mallig 2006, SMWFragment, Schutzlevel sysop, Verschleierung |
|
|
| Untersuchte Arbeit: Seite: 33, Zeilen: 1-16, 18-23 |
Quelle: Mallig 2006 Seite(n): 56, 57, 58, Zeilen: 56: 3ff; 57: 11ff; 58: 1ff |
|---|---|
| H.E.-Färbung
Hämatoxylin, ein natürlicher aus Blauholz gewonnener Pflanzenfarbstoff, färbt Zellkerne blau bis dunkelblau an. Als Gegenfärbung zu Hämatoxylin wird Eosin genutzt. Eosin ist ein schwach saurer Farbstoff, der das Zytoplasma kräftig rot färbt. Jeder vierte Gehirnschnitt sowie alle Lungen-, Milz-, Nieren- und Leberschnitte wurden mit H.E. gefärbt (Färbeprotokoll siehe Anhang). Nissl-Färbung Mit Hilfe der Nissl-Färbung werden selektiv Neuronen dargestellt. Durch elektropolare Anlagerung des basischen Farbstoffs Kresylviolett an die sauren Gruppen der Nukleinsäuren werden hierbei die Kerne und Nisslschollen (raues endoplasmatisches Retikulum) der Nervenzellen angefärbt (Färbeprotokoll siehe Anhang). GFAP-Färbung GFAP findet als spezifischer Marker für reaktive Astrozyten Anwendung. Mit der GFAP-Färbung wird das saure Gliafilamentprotein angefärbt, eine der Hauptkomponenten des Zytoskeletts differenzierter Astrozyten(112). GFAP wird vermehrt nach Verletzungen des Zentralen-Nerven-Systems (ZNS) in hypertrophierten Astrozyten exprimiert. Für die GFAP-Färbung wurde ein Primärantikörper aus Kaninchen (Polyclonal Rabbit Anti-Cow-GFAP, DakoCytomation Z 0334) in einer Verdünnung von 1:400 und ein biotinylierter Sekundärantikörper aus Schweinen (Polyclonal Swine Anti-Rabbit Immunoglobulins/Biotinylated, DakoCytomation E0353) in einer Verdünnung von 1:500 verwendet (Färbeprotokoll siehe Anhang). 112. Eng, L. F.: Glial fibrillary acidic protein (GFAP): the major protein of glial intermediate filaments in differentiated astrocytes, J.Neuroimmunol. 8:203- 214, 1985 |
4.4.2.1 H.E.-Färbung
Hämatoxylin ist ein natürlicher, aus Blauholz gewonnener Pflanzenfarbstoff und der am meisten benutzte Kernfarbstoff. Er färbt Zellkerne blau bis dunkelblau. Die Gegenfärbung zu Hämatoxylin ist im Allgemeinen Eosin, ein zur Fluorescein-Gruppe gehörender schwach saurer Farbstoff, der das Zytoplasma kräftig rot färbt. Sowohl jeder fünfte Gehirnschnitt, als auch alle Lungen-, Milz-, Nieren- und Leberschnitte wurden mit H.E. gefärbt. [...] 4.4.2.2 Nissl-Färbung Mit Hilfe der Nissl-Färbung wurden selektiv die Neuronen dargestellt. Durch elektropolare Anlagerung des basischen Farbstoffs Kresylviolett an die sauren Gruppen der Nukleinsäuren werden hierbei die Kerne und Nisslschollen (rauhes [sic] endoplasmatisches Retikulum) der Nervenzellen angefärbt. [Seite 57] 4.4.2.3 GFAP-Färbung Eine Verletzung des Zentralnervensystems (ZNS) führt zu einer Hypertrophie und Hyperplasie der Astrozyten und zu einem erheblichen Anstieg des Gehaltes an saurem Gliafilamentprotein (GFAP), einer der Hauptkomponenten des Zytoskeletts differenzierter Astrozyten (ENG 1985). GFAP fand daher als spezifischer Marker für reaktive Astrozyten Verwendung. [Seite 58] Nach 20 Minuten folgte ein 60-minütiger Inkubationsschritt mit dem Primärantikörper aus Kaninchen (Polyclonal Rabbit Anti-Cow-GFAP, DakoCytomation Z 0334) in einer Verdünnung von 1:400. Dem PBS wurde bei diesem Schritt 1% BSA (bovines Serumalbumin, Sigma-Aldrich Chemie GmbH, Steinheim) zugesetzt. Nach dreimaliger Spülung mit Tween®-haltigem PBS folgte die Inkubation mit dem biotinylierten Sekundärantikörper aus Schweinen (Polyclonal Swine Anti-Rabbit Immunoglobulins/Biotinylated, DakoCytomation E0353) in einer Verdünnung von 1:500. Diesmal wurden dem PBS 1,5% Schweine-Normalserum und 5% Mäuse-Normalserum (Mouse Serum (Normal), DakoCytomation X0910) beigemischt. |
Ein Verweis auf die Quelle fehlt. |
|
| [17.] Lcg/Fragment 035 01 - Diskussion Zuletzt bearbeitet: 2015-11-17 22:35:22 Hindemith | Fragment, Gesichtet, Lcg, Mallig 2006, SMWFragment, Schutzlevel sysop, Verschleierung |
|
|
| Untersuchte Arbeit: Seite: 35, Zeilen: 1-4, 10-13 |
Quelle: Mallig 2006 Seite(n): 58, 59, 60, Zeilen: 58: 24ff; 59: 1ff; 60: 3ff |
|---|---|
| 4.9.2 Auswertung der histologischen Präparate
Die mit Hämatoxylin und Eosin gefärbten Präparate der Organe (Lunge, Leber, Milz, Niere) wurden lichtmikroskopisch (Mikroskop BX51TF, Olympus, Tokyo, Japan) untersucht und semiquantitativ ausgewertet. [...] Dazu wurden je nach zu bewertendem Kriterium 100- oder 200-fache bzw. für Detailansichten bis zu 1.000-fache Vergrößerungen eingesetzt. Die Beurteilung erfolgt nach einem Bewertungsschema, bei dem je nach Ausprägung eines Merkmals ein Zahlenwert (Score) vergeben wurde (Tabelle 4 bis 7)(111). Tabelle 4: Bewertungsschema zur semiquantitativen Beurteilung der histologischen Lungenpräparate Tabelle 5: Bewertungsschema zur semiquantitativen Beurteilung der histologischen Leberpräparate 111. Van Griensven, M., Kuzu, M., Breddin, M., Bottcher, F., Krettek, C., Pape, H. C., and Tschernig, T.: Polymicrobial sepsis induces organ changes due to granulocyte adhesion in a murine two hit model of trauma, Exp.Toxicol.Pathol. 54:203-209, 2002 |
4.4.3 Auswertung der histologischen Präparate
Die für die histologische Auswertung angefertigten und mit Hämatoxylin und Eosin gefärbten Präparate der Organe (Lunge, Leber, Milz, Niere) wurden lichtmikroskopisch (Mikroskop BX51TF, Olympus, Tokyo, Japan) untersucht und semiquantitativ ausgewertet. Dazu wurden je nach zu bewertendem Kriterium 100- oder 200-fache bzw. für Detailansichten bis zu 1.000-fache Vergrößerungen eingesetzt. Die auf den histologischen Schnitten basierende Beurteilung erfolgte [Seite 59] nach einem Bewertungsschema (Scoringsystem), bei dem je nach Ausprägung eines Merkmals ein Zahlenwert (Score) von 0 bis 2 bei folgenden Aussagen über den Grad der Veränderungen des zu untersuchenden Merkmals vergeben wurde: [...] [...] Tabelle 12: Bewertungsschema zur Beurteilung der histologischen Lungenpräparate [Seite 60] Tabelle 13: Bewertungsschema zur Beurteilung der histologischen Leberpräparate |
Ein Verweis auf die Quelle fehlt. |
|
| [18.] Lcg/Fragment 036 01 - Diskussion Zuletzt bearbeitet: 2015-11-17 22:35:32 Hindemith | Fragment, Gesichtet, Lcg, Mallig 2006, SMWFragment, Schutzlevel sysop, Verschleierung |
|
|
| Untersuchte Arbeit: Seite: 36, Zeilen: 1-7 |
Quelle: Mallig 2006 Seite(n): 43, 60, 61, Zeilen: 43: 11ff; 60: 10ff; 61: 1ff |
|---|---|
| Tabelle 6: Bewertungsschema zur semiquantitativen Beurteilung der histologischen Milzpräparate
Tabelle 7: Bewertungsschema zur semiquantitativen Beurteilung der histologischen Nierenpräparate Gehirn Bei den Gehirnschnitten wurden neben der Färbung mit H.E. zusätzlich eine Nissl-, eine GFAP- und eine APP-Färbung durchgeführt. Es wurden die relative Veränderungen der Cortexdicke und morphologische Veränderungen, insbesondere der Neuronen in Cortex und Hippocampus untersucht. Immunhistochemisch wurden reaktive Astrozyten mit Hilfe einer GFAP-Färbung dargestellt und anschließend die Astrozytendichte in Cortex und Hippocampus bestimmt. |
[Seite 43]
Außerdem wurden die Schädigungen am Gehirn histologisch in Bezug auf relative Veränderungen der Cortexdicke und morphologische Veränderungen, insbesondere der Neuronen in Cortex und Hippocampus untersucht. Immunhistochemisch wurden die reaktiven Astrozyten mit Hilfe einer GFAP-Färbung dargestellt und anschließend die Astrozytendichte in Cortex und Hippocampus bestimmt. [Seite 60] Tabelle 14: Bewertungsschema zur Beurteilung der histologischen Milzpräparate [Seite 61] Tabelle 15: Bewertungsschema zur Beurteilung der histologischen Nierenpräparate 4.4.3.5 Gehirn Bei den Gehirnschnitten wurden neben der Färbung mit H.E. auch noch eine Nissl-Färbung und eine GFAP-Färbung durchgeführt. |
Ein Verweis auf die Quelle fehlt. |
|
| [19.] Lcg/Fragment 037 01 - Diskussion Zuletzt bearbeitet: 2015-10-12 18:57:11 WiseWoman | Fragment, Gesichtet, Lcg, Mallig 2006, SMWFragment, Schutzlevel sysop, Verschleierung |
|
|
| Untersuchte Arbeit: Seite: 37, Zeilen: 1-6, 9-13 |
Quelle: Mallig 2006 Seite(n): 61, Zeilen: 4-18 |
|---|---|
| H.E.-Färbung
Mit Hilfe der H.E.-Übersichtsfärbung wurde die Cortexdicke als Maß für die Ödemreaktion des Gehirns mit Hilfe der Software CellF (Olympus Soft Imaging Solutions GmbH, Münster) ausgemessen. Hierzu wurden je drei Schnitte aus dem Zentrum des Traumas ausgewählt. Pro Gehirnschnitt wurden drei Messungen der Cortexdicke der linken und der rechten Seite durchgeführt. Die Messungen der linken Seite (Traumaseite) wurde mit den Messungen der rechten Seite ins Verhältnis gesetzt und damit die relative Cortexdickenveränderung als Maß der Ödemreaktion ermittelt. Berücksichtigt wurde hierfür der Abstand der Messungen am Übergang des Cortex zur weißen Substanz zur Medianebene des Gehirns. Um diese genau zu definieren, wurde eine Senkrechte durch die Mitte der Gehirnschnitte so gelegt, dass diese durch den Hemisphärenspalt und sowohl durch den dorsalen als auch den ventralen Anteils des dritten Ventrikels verlief (Abbildung 6). |
H.E.-Färbung:
Mit Hilfe der H.E.-Übersichtsfärbung wurde die Cortexdicke als Maß für die Ödemreaktion des Gehirns mit Hilfe der Software CellF (Olympus Soft Imaging Solutions GmbH, Münster) ausgemessen. Hierzu wurden je drei Schnitte aus dem Zentrum des Traumas ausgewählt bzw. des entsprechenden Gehirnbereiches bei der Fraktur-Schock-Gruppe. Pro Gehirnschnitt wurden drei Messungen der relativen Cortexdicke der linken Seite (Traumaseite) in Bezug auf die Gegenseite durchgeführt. Hierfür wurde auf der Traumaseite an drei Messpunkten im Bereich der maximalen Traumaausprägung die Cortexdickenveränderung im Verhältnis zu den entsprechenden Messpunkten des kontralaterale Cortex erfasst. Berücksichtigt wurde hierfür der Abstand der Messungen am Übergang des Cortex zur weißen Substanz zur Medianebene des Gehirns. Um diese genau zu definieren, wurde eine Senkrechte durch die Mitte der Gehirnschnitte so gelegt, dass diese durch den Hemisphärenspalt und sowohl durch den dorsalen als auch den ventralen Anteils des dritten Ventrikels verlief (Abbildung 6). |
Ein Verweis auf die Quelle fehlt. |
|
| [20.] Lcg/Fragment 038 01 - Diskussion Zuletzt bearbeitet: 2015-10-05 13:53:37 Klgn | Fragment, Gesichtet, Lcg, Mallig 2006, SMWFragment, Schutzlevel sysop, Verschleierung |
|
|
| Untersuchte Arbeit: Seite: 38, Zeilen: 1ff (komplett) |
Quelle: Mallig 2006 Seite(n): 62, 63, Zeilen: 62: 1ff; 63: 1ff |
|---|---|
| Nissl-Färbung
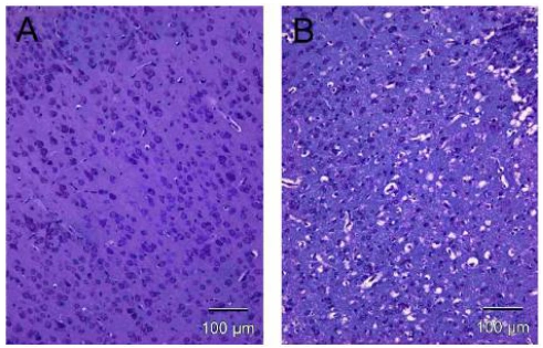
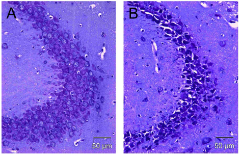
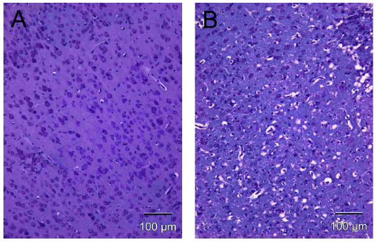
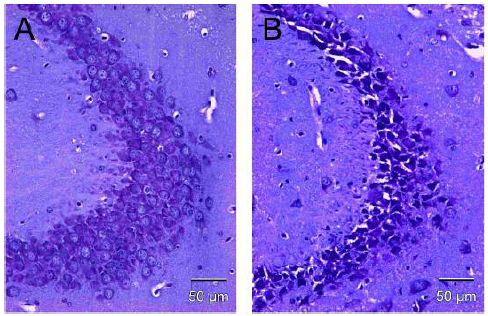
Bei der Nissl-Färbung, die der Beurteilung der neuronalen Struktur und möglicher Neuronenschäden diente, wurde eine rein deskriptive Beurteilung vorgenommen, wobei insbesondere hypoxie- und traumaempfindliche Regionen im Hippocampus (CA3- und CA1 -Regionen) berücksichtigt wurden. Auch hierfür wurden jeweils drei repräsentative Gehirnschnitte aus der entsprechenden Gehirnebene ausgewählt. GFAP-Färbung Die GFAP-Färbung diente zur Beurteilung der reaktiven Astrogliose. Es wurden drei Schnitte aus dem Zentrum der Kontusion bzw. der entsprechenden Gehirnregion ausgewählt und die Dichte der reaktiven Astrozyten im Cortex bzw. Hippocampus beider Gehirnhälften ausgezählt. Für die Auswertung der Astrogliose im Cortex wurden pro Präparat drei repräsentative Bereiche berücksichtigt. Hierfür wurden Regionen in den mittleren bis tiefen Cortexschichten definiert. Über diese Regionen wurde beidseits ein Raster gelegt und anschließend die Anzahl GFAP-positiver Zellen pro Raster ausgezählt. Eine der definierten Regionen umfasste das Cingulum, die zweite Region lag auf Höhe der Capsula interna und der dritte Bereich mittig zwischen den anderen (Abbildung 7). Die Auszählung der Astrozyten im Hippocampus entsprach der im Cortex. Hierbei wurden jeweils vier repräsentative Bereiche berücksichtigt. Dabei umfassten diese Regionen sowohl die CA1 -, CA2- und CA3-Regionen als auch den Gyrus dentatus. Analog zur Auswertung des Cortex wurden auch hier die GFAP-positiven Astrozyten pro Fläche ausgezählt. Sowohl die Messungen der drei Präparate pro Gehirn als auch der verschiedenen Regionen jedes Präparates wurden gemittelt, um repräsentative Aussagen über die Anzahl der reaktiven Astrozyten im Cortex bzw. Hippocampus zu erhalten. |
Nissl-Färbung:
Bei der Nissl-Färbung, die der Beurteilung der neuronalen Struktur und möglicher Neuronenschäden diente, wurde eine rein deskriptive Beurteilung vorgenommen, wobei insbesondere hypoxie- und traumaempfindliche Regionen im Hippocampus berücksichtigt wurden. Dazu gehörten spezifische Bereiche des Cornu ammonis (CA) wie die CA3- und CA1-Regionen und der Gyrus dentatus (Abbildung 6). Auch hierfür wurden jeweils drei repräsentative Gehirnschnitte aus dem Bereich der maximalen Traumaausprägung bzw. bei der Fraktur-Schock-Gruppe aus der entsprechenden Gehirnebene ausgewählt. GFAP-Färbung: Die GFAP-Färbung diente zur Beurteilung der reaktiven Astrogliose. Es wurden drei Schnitte aus dem Zentrum der Kontusion bzw. der entsprechenden Gehirnregion ausgewählt und die Dichte der reaktiven Astrozyten im Cortex bzw. Hippocampus beider Gehirnhälften ausgezählt. [Seite 63] Für die Auswertung der Astrogliose im Cortex wurden pro Präparat drei repräsentative Bereiche berücksichtigt. Hierfür wurden Regionen in den mittleren bis tiefen Cortexschichten (etwa von Schicht III bis Schicht VI) definiert, in denen anschließend die Anzahl GFAP-positiver Zellen pro Fläche ausgezählt wurde. Eine der definierten Regionen umfasste das Cingulum, die zweite Fläche lag auf Höhe der Capsula interna und der dritte Bereich mittig zwischen den anderen (Abbildung 6). Die Auszählung der Astrozyten im Hippocampus entsprach der im Cortex. Hierbei wurden jeweils vier repräsentative Bereiche berücksichtigt. Dabei umfassten diese Regionen sowohl die CA1-, CA2- und CA3-Regionen als auch den Gyrus dentatus. Analog zur Auswertung des Cortex wurden auch hier die GFAP-positiven Astrozyten pro Fläche ausgezählt. Sowohl die Messungen der drei Präparate pro Gehirn als auch der verschiedenen Regionen jedes Präparates wurden gemittelt, um repräsentative Aussagen über die Anzahl der reaktiven Astrozyten im Cortex bzw. Hippocampus zu erhalten. |
Ein Verweis auf die Quelle fehlt. |
|
| [21.] Lcg/Fragment 040 09 - Diskussion Zuletzt bearbeitet: 2015-10-04 08:27:06 Klgn | Fragment, Gesichtet, Lcg, Mallig 2006, SMWFragment, Schutzlevel sysop, Verschleierung |
|
|
| Untersuchte Arbeit: Seite: 40, Zeilen: 9-25 |
Quelle: Mallig 2006 Seite(n): 33, 34, Zeilen: 33: letzter Absatz; 34: 1ff |
|---|---|
| 4.10.1 Funktionsprinzip
Das Prinzip der Durchflusszytometrie besteht darin, dass fluoreszenzmarkierte Partikel in einem Flüssigkeitsstrom einzeln einen Laserstrahl passieren. Durch die Detektion von Lichtstreuungseigenschaften und Fluoreszenzemissionen kann man Rückschlüsse auf die Eigenschaften des Partikels ziehen, im Fall der Untersuchung bestimmter Zellen einer Probe beispielsweise auf die Zellart. So kann mit Hilfe des Vorwärtsstreulichts (Forward Scatter = FSC) eine Aussage über die Zellgröße gemacht werden, während das Seitwärtsstreulicht (Side Scatter = SSC) Informationen über die Granularität (innere Komplexität) der Zelle liefert (Abbildung 8). Anhand der Fluoreszenz können entsprechend markierte Subpopulationen einer Zellart unterschieden werden. Hierfür werden Antikörper, gegen spezifische von den verschiedenen Subpopulationen expremierten Oberflächenproteine, mit Fluoreszenzfarbstoffen gekoppelt und somit die Zellen markiert. Nach der Aufbereitung wird das Gemisch der markierten Zellen in einem wesentlich größeren Volumen einer Salzlösung dem Durchflusszytometer zugeführt. Dieses besteht aus einem Flüssigkeitssystem, einem optischen und einem elektronischen System. |
2.7.1 Funktionsprinzip
Das Prinzip der Durchflusszytometrie besteht darin, dass fluoreszenzmarkierte Partikel in einem Flüssigkeitsstrom einzeln einen Laserstrahl passieren. Durch die Detektion von Lichtstreuungseigenschaften und Fluoreszenzemissionen kann man Rückschlüsse auf die Eigenschaften des Partikels ziehen, im Fall der Untersuchung bestimmter Zellen einer Probe beispielsweise auf die Zellart. So kann mit Hilfe des [Seite 34] Vorwärtsstreulichts (Forward Scatter = FSC) eine Aussage über die Zellgröße gemacht werden, während das Seitwärtsstreulicht (Side Scatter = SSC) Informationen über die Granularität (innere Komplexität) der Zelle liefert. Außerdem können anhand der Fluoreszenzen entsprechend markierte Subpopulationen einer Zellart unterschieden werden. Hierfür werden Antikörper gegen spezifische von den verschiedenen Subpopulationen exprimierte Oberflächenproteine mit Fluoreszenzfarbstoffen gekoppelt und somit die Zellen markiert. Nach der Aufbereitung wird das Gemisch der markierten Zellen in einem wesentlich größeren Volumen einer Salzlösung dem Durchflusszytometer zugeführt (JANEWAY et al. 1997b). Dieses besteht aus einem Flüssigkeitssystem, einem optischen und einem elektronischen System. |
Ein Verweis auf die Quelle fehlt. |
|
| [22.] Lcg/Fragment 041 01 - Diskussion Zuletzt bearbeitet: 2015-10-03 22:04:49 Hindemith | Fragment, Gesichtet, KomplettPlagiat, Lcg, Mallig 2006, SMWFragment, Schutzlevel sysop |
|
|
| Untersuchte Arbeit: Seite: 41, Zeilen: 1-18 |
Quelle: Mallig 2006 Seite(n): 34, Zeilen: 13ff |
|---|---|
| Zu diesem Zweck besteht es aus einem zentralen Kanal, in den die Probe eingebracht wird, umgeben von einer äußeren Kammer, die eine schneller fließende Flüssigkeit enthält (Hüllstrom). Durch eine Querschnittsverringerung der Messküvette werden Probenstrom und Hüllstrom verjüngt und beschleunigt (hydrodynamische Fokussierung), der Abstand zwischen den Zellen wird vergrößert, so dass die Zellen einzeln den Analysepunkt passieren. Das optische System kann man in Anregungs- und Detektionsoptik unterteilen. Es besteht bei Standardinstrumenten aus einer monochromatischen Lichtquelle, üblicherweise einem luftgekühlten Argon-Laser (488 nm Wellenlänge) und bestimmten Prismen und Linsen, die den Laserstrahl formen und fokussieren. Dieser bestrahlt jede einzelne Zelle (bzw. Partikel) am Analysepunkt, was zur Lichtstreuung führt und die Farbstoffmoleküle, die an die Zelle gebunden sind, zur Fluoreszenz anregt(122). Die diversen Signale werden von Linsen gesammelt und einem System von optischen Teiler-Spiegeln und Filtern zugeführt, von welchen die emittierten Lichtsignale entsprechend ihrer Wellenlängen zu den zugehörigen Detektoren gelenkt werden. Ein elektronisches System wandelt nun die optischen Signale in elektronische Signale um (Spannungspulse), digitalisiert diese und übermittelt sie an einen Computer zur Analyse.
122. Alegret, J. M., Marti, V., Rodriguez-Font, E., Alonso, C., Guindo, J., and Dominguez De Rozas, J. M.: Effects of thrombolysis in the evolution of right bundle-branch block complicating an acute anterior myocardial infarction, Acta Cardiol. 56:297-301, 2001 |
Zu diesem Zweck besteht es aus einem zentralen Kanal, in den die Probe eingebracht wird, umgeben von einer äußeren Kammer, die eine schneller fließende Flüssigkeit enthält (Hüllstrom). Durch eine Querschnittsverringerung der Messküvette werden Probenstrom und Hüllstrom verjüngt und beschleunigt (hydrodynamische Fokussierung), der Abstand zwischen den Zellen wird vergrößert, so dass die Zellen einzeln den Analysepunkt passieren. Das optische System kann man in Anregungs- und Detektionsoptik unterteilen. Es besteht bei Standardinstrumenten aus einer monochromatischen Lichtquelle, üblicherweise einem luftgekühlten Argon-Laser (488 nm Wellenlänge) und bestimmten Prismen und Linsen, die den Laserstrahl formen und fokussieren. Dieser bestrahlt jede einzelne Zelle (bzw. Partikel) am Analysepunkt, was zur Lichtstreuung führt und die Farbstoffmoleküle, die an die Zelle gebunden sind, zur Fluoreszenz anregt (MARTI et al. 2001). Die diversen Signale werden von Linsen gesammelt und einem System von optischen Teiler-Spiegeln und Filtern zugeführt, von welchen die emittierten Lichtsignale entsprechend ihrer Wellenlängen zu den zugehörigen Detektoren gelenkt werden. Ein elektronisches System wandelt nun die optischen Signale in elektronische Signale um (Spannungspulse), digitalisiert diese und übermittelt sie an einen Computer zur Analyse.
MARTI, G.E., M. STETLER-STEVENSON, J.J. BLEESING, und T.A. FLEISHER (2001): Introduction to flow cytometry. Semin.Hematol. 38:93-99 |
Ein Verweis auf die Quelle fehlt. Man beachte, dass die Quellenangaben nicht übereinstimmen, in der Quelle aber der thematisch passendere Literaturverweis zu finden zu sein scheint. |
|
| [23.] Lcg/Fragment 042 01 - Diskussion Zuletzt bearbeitet: 2015-11-15 12:31:01 Klgn | Fragment, Gesichtet, Lcg, Mallig 2006, SMWFragment, Schutzlevel sysop, Verschleierung |
|
|
| Untersuchte Arbeit: Seite: 42, Zeilen: 1ff (komplett) |
Quelle: Mallig 2006 Seite(n): 35, Zeilen: 1ff |
|---|---|
| Cytometric Bead Array
Zytokine wurden früher mit immunologischen Verfahren wie dem ELISA (Enzyme Linked Immunosorbent Assay) gemessen. Solche Methoden können jedoch nur jeweils ein Zytokin messen. Mit Hilfe von Cytometric Bead Arrays (CBA) können mehrere Zytokine gleichzeitig gemessen werden. Da Zytokine zu klein sind, um vom Durchflusszytometer erkannt zu werden, müssen sie, um sie einer durchflusszytometrischen Detektion zugänglich zu machen, an größere Partikel (Polystyrol-Kügelchen), so genannte Capture-Beads gekoppelt werden. Jede Bead- Population besitzt eine definierte Fluoreszenzintensität und ist mit spezifischen Antikörpern (Capture Antibodies) gegen eines der zu messenden Zytokine beschichtet. Dadurch ist gewährleistet, dass jedes dieser Zytokine spezifisch an eine der Bead-Population bindet und anhand der Fluoreszenzintensität qualitativ bestimmt werden kann. Die Quantifizierung der Zytokine erfolgt durch Inkubation mit spezifischen Antikörpern, die an das Fluorochrom Phycoerythrin (PE) gekoppelt sind. Diese PE-markierten Antikörper binden nach dem Prinzip eines Sandwichverfahrens an die mit der entsprechenden Bead-Population verbundenen Zytokine. Die mit dem Durchflusszytometer ermittelbare Höhe der PE-Fluoreszenz ist der Menge des an eine Bead-Population gebundenen Zytokins proportional und kann mit Hilfe von Standardreihen quantifiziert werden. |
2.7.2 Cytometric Bead Array
Zytokine wurden früher mit immunologischen Verfahren wie dem ELISA (Enzyme Linked Immunosorbent Assay) gemessen. Solche Methoden können jedoch nur jeweils ein Zytokin messen. Sie nehmen daher viel Zeit in Anspruch und ein kleines Probenvolumen limitiert die Anzahl der messbaren Parameter. Diese Probleme lassen sich mit Hilfe des Cytometric Bead Arrays (CBA) lösen, da man mit diesem Verfahren mehrere Zytokine gleichzeitig messen kann und dafür insgesamt nur ein sehr geringes Probenvolumen benötigt. Da Zytokine zu klein sind, um vom Durchflusszytometer erkannt zu werden, müssen sie, um sie einer durchflusszytometrischen Detektion zugänglich zu machen, an größere Partikel (Polystyrol-Kügelchen), sogenannte „Capture-Beads“ (bead = Perle, Tropfen) gekoppelt werden. Jede „Bead“-Population besitzt eine definierte Fluoreszenzintensität und ist mit spezifischen Antikörpern („Capture Antibodies“) gegen eines der zu messenden Zytokine beschichtet. Dadurch ist gewährleistet, dass jedes dieser Zytokine spezifisch an eine der „Bead“-Population bindet und anhand der Fluoreszenzintensität qualitativ bestimmt werden kann. Die Quantifizierung der Zytokine erfolgt durch Inkubation mit spezifischen Antikörpern, die an das Fluorochrom Phycoerythrin (PE) gekoppelt sind. Diese PE-markierten Antikörper binden nach dem Prinzip eines Sandwichverfahrens an die mit der entsprechenden „Bead“-Population verbundenen Zytokine. Die mit dem Durchflusszytometer ermittelbare Höhe der PE-Fluoreszenz ist der Menge des an eine „Bead“-Population gebundenen Zytokins proportional und kann mit Hilfe von Standardreihen quantifiziert werden. |
Ein Verweis auf die Quelle fehlt. |
|
| [24.] Lcg/Fragment 043 01 - Diskussion Zuletzt bearbeitet: 2015-11-17 22:36:33 Hindemith | Fragment, Gesichtet, Lcg, Mallig 2006, SMWFragment, Schutzlevel sysop, Verschleierung |
|
|
| Untersuchte Arbeit: Seite: 43, Zeilen: 1ff (komplett) |
Quelle: Mallig 2006 Seite(n): 63, 64, Zeilen: 63: 18ff; 64: 1ff |
|---|---|
| 4.10.2 Analyse der Lymphozyten in der Milzsuspension
Um die verschiedenen Subpopulationen der Lymphozyten in der Milzsuspension messen zu können, macht man sich ihre spezifischen Zelloberflächenantigene zunutze. So lässt dich das CD4-Antigen der T-Helferzellen und das Ly49-Antigen (CD56-Antigen beim Menschen) der natürlichen Killerzellen durch an anti-Maus- CD4-Antikörper und anti-Ly49-Antikörper gekoppeltes Fluorescein Isothiocyanat (FITC) detektieren. Das CD8-Antigen der zytotoxischen T-Zellen lässt sich über an anti-Maus-CD8-Antikörper gekoppeltes Phycoerythrin (PE) identifizieren. Aufbereitung der Proben Um störende Erytrozyten zu hämolysieren wurde die Milzsuspension mit 14ml hypotoner Lyselösung (Ansatz siehe Anhang) versetzt und für 15 min im Kühlschrank inkubiert. Nach Zentrifugation (Labofuge 400R, Heraeus Instruments, Hanau) bei 4°C und 4500 rpm für 10 min wurde der Überstand verworfen und die Zellen mit 1.000 μl PBS resuspendiert. Nach erneuter Zentrifugation bei 4°C und 4500 rpm für 5 min wurde der Überstand erneut verworfen und die Zellen mit 45 μl PBS versetzt und auf drei FACS Röhrchen (Sarstedt, Nümbrecht) zu je 15 ml aufgeteilt. Ein Röhrchen diente der Bestimmung des Leerwerts. Auf die anderen wurden je 5 μl der oben beschriebenen mit Fluoreszenzfarbstoffen konjugierten Antikörper verteilt (Tabelle 8). Die Proben wurden für 30 Minuten im Kühlschrank bei 4°C inkubiert. Anschließend wurden 1000 μl PBS zugefügt, fünf Minuten bei 4°C mit 4500 rpm zentrifugiert und der Überstand verworfen. Diese Waschprozedur wurde einmal wiederholt. Schließlich wurden die Proben nach Zugabe von 150 μl PBS der FACS-Analyse unterzogen. |
4.4.4.1 Analyse der Lymphozyten in der Milzsuspension
Um die verschiedenen Subpopulationen der Lymphozyten in der Milzsuspension messen zu können, machte man sich ihre spezifischen Zelloberflächenantigene zunutze: das CD4-Antigen der T-Helferzellen, das CD8-Antigen der zytotoxischen T-Zellen und das Ly49-Antigen (CD56-Antigen beim Menschen) der natürlichen Killerzellen. Mit folgenden Fluoreszenzfarbstoffen konjugierte monoklonale Antikörper dienten zu ihrer Identifizierung: Mit Fluorescein Isothiocyanat (FITC), welches im grünen Fluoreszenzspektrum detektierbar ist, gekoppelte anti-Maus- CD4-Antikörper und anti-Ly49-Antikörper und mit im roten Fluoreszenzspektrum detektierbarem Phycoerythrin (PE) gekoppelte anti-Maus-CD8-Antikörper (BD Biosciences, Pharmingen, San Diego, USA). [Seite 64] Aufbereitung der Proben: Um eine Hämolyse der die durchflusszytometrische Analyse störenden Erythrozyten zu erreichen,wurde die nach der Organentnahme auf Eis gelagerte Milzsuspension mit 14 ml hypotoner Lyselösung (Herstellung: siehe Anhang) versetzt und für 15 Minuten im Kühlschrank inkubiert. Danach folgte eine zehnminütige Zentrifugation (Labofuge 400R, Heraeus Instruments, Hanau) bei 4°C mit 450× g. Der Überstand wurde verworfen und die Zellen mit 1.000 μl PBS resuspendiert. Nach erneuter Zentrifugation bei 4°C und 450×g für fünf Minuten und Absaugen des Überstandes wurden die Zellen jeder Probe in 45 μl PBS resuspendiert und auf jeweils drei FACS-Röhrchen (Sarstedt, Nümbrecht) zu je 15 μl aufgeteilt. Ein Röhrchen diente der Bestimmung des Leerwerts. Auf die anderen wurden je 5 μl der oben beschriebenen mit Fluoreszenzfarbstoffen konjugierten Antikörper wie in Tabelle 16 dargestellt, verteilt. [...] Die Proben wurden für 30 Minuten im Kühlschrank bei 4°C inkubiert. Danach wurden 1000 μl PBS hinzugegeben, fünf Minuten bei 4°C mit 450×g zentrifugiert und der Überstand verworfen. Diese Waschprozedur wurde einmal wiederholt. Schließlich wurden die Proben nach Zugabe von 150 μl PBS der durchflusszytometrischen Messung unterzogen. |
Ein Verweis auf die Quelle fehlt. |
|
| [25.] Lcg/Fragment 044 01 - Diskussion Zuletzt bearbeitet: 2015-11-15 17:17:14 Klgn | Fragment, Gesichtet, Lcg, Mallig 2006, SMWFragment, Schutzlevel sysop, Verschleierung |
|
|
| Untersuchte Arbeit: Seite: 44, Zeilen: 1ff (komplett) |
Quelle: Mallig 2006 Seite(n): 64, 65, 66, Zeilen: 64: Tabelle; 65: 1ff; 66: 1ff |
|---|---|
| Tabelle 8: fluoreszenzmarkierte Antikörperverteilung in den zu messenden Proben
Auswertung Die erhaltenen Messdaten wurden mit der Software winmdi (Version 2.8, J. Trotter, TSRI, La Jolla, CA, USA) ausgewertet. Mit Hilfe des FSC Kanals (Vorwärtsstreulicht) und des SSC Kanals (Seitwärtsstreulicht) wurden die wichtigsten Leukozytengruppen wie Lymphozyten, Monozyten und neutrophile Granulozyten unterschieden. Die Darstellung erfolgte in einem Punktediagramm. („Dotplot“). Da in dieser Studie nur die Lymphozyten der weiteren Datenauswertung zugänglich gemacht werden sollten wurden diese von den anderen abgegrenzt, indem man ein Auswertungsfenster definierte (gating), in dem sich lediglich Lymphozyten befanden. Anhand der Fluoreszenz konnte zwischen den verschiedenen Lymphozytensubpopulationen unterschieden werden. Der FL1-Kanal diente der Detektion der FITC-markierten Proben (CD4 und Ly49) und der FL2-Kanal der Messung von PE-markierten Proben (CD8). Für die Darstellung der CD4+- und CD8+-T-Lymphozyten in einem Dotplot wurden die CD4 positiven-T-Lymphozyten auf der Abszisse (FL1 - Kanal) und die CD8 positiven-Lymphozyten auf der Ordinate (FL2-Kanal) dargestellt, so dass sich die CD4-positiven Zellen im rechten unteren Quadranten und die CD8-positiven Zellen im linken oberen Quadranten befanden. Dementsprechend wurden die Vorstufen dieser Zellen (CD4- und CD8-positiv) im rechten oberen Quadranten dargestellt (Abbildung 9). Die ebenfalls FITC-markierten Ly49 positiven-Lymphozyten (Natürliche Killerzellen) wurden in einem weiteren [Punktediagramm auf der Ordinate (FL1 -Kanal) gegen den FL2-Kanal (Abzisse) dargestellt. Ly49-positive Lymphozyten befanden sich demzufolge im obere [sic] rechten Quadranten (Abbildung 10).] |
Tabelle 16: fluoreszenzmarkierte Antikörperverteilung in den zu messenden Proben
[...] Auswertung: Die erhaltenen Messdaten wurden mit einem speziellen Computerprogramm (winmdi 2.8, J. Trotter, TSRI, La Jolla, CA, USA) ausgewertet. Mit Hilfe des FSC-Kanals (Vorwärtsstreulicht) und des SSC-Kanals (Seitwärtsstreulicht) wurden die wichtigsten Leukozytengruppen wie Lymphozyten, Monozyten und neutrophile Granulozyten unterschieden. Die Darstellung erfolgte in einem Punktediagramm [Seite 65] („Dotplot“). Bei dieser Studie sollten nur die Lymphozyten der weiteren Datenauswertung zugänglich gemacht werden. Daher wurden diese von den anderen abgegrenzt, indem man ein Auswertungsfenster definierte (gating), in dem sich lediglich Lymphozyten befanden. Die Unterscheidung zwischen den verschiedenen Lymphozytensubpopulationen erfolgte anhand der Fluoreszenzen. Hierbei diente der FL1-Kanal der Detektion der FITC-markierten Proben (CD4 und Ly49) und der FL2-Kanal der Messung von PE-markierten Proben (CD8). Es wurden jeweils der FL1-Kanal gegen den FL2-Kanal aufgetragen. Für die Darstellung der CD4+- und CD8+-T-Lymphozyten wurden somit in einem Dotplot die CD4+-T-Lymphozyten auf der Abszisse (FL1-Kanal) und die CD8+-Lymphozyten auf der Ordinate (FL2-Kanal) dargestellt, so dass sich die CD4-positiven Zellen im rechten unteren Quadranten und die CD8-positiven Zellen im linken oberen Quadranten befanden. Dementsprechend wurden die Vorstufen dieser Zellen (CD4- und CD8-positiv) im rechten oberen Quadranten dargestellt (Abbildung 7). [...] Die ebenfalls FITC-markierten Ly49+-Lymphozyten (Natürliche Killerzellen) wurden in einem weiteren Punktediagramm auf der Abszisse (FL1-Kanal) gegen den FL2-Kanal [Seite 66] dargestellt. Ly49-positive Lymphozyten befanden sich demzufolge im unteren rechten Quadranten (Abbildung 8). |
Ein Verweis auf die Quelle fehlt. |
|
| [26.] Lcg/Fragment 045 01 - Diskussion Zuletzt bearbeitet: 2015-11-17 22:35:43 Hindemith | Fragment, Gesichtet, Lcg, Mallig 2006, SMWFragment, Schutzlevel sysop, Verschleierung |
|
|
| Untersuchte Arbeit: Seite: 45, Zeilen: 1-6 |
Quelle: Mallig 2006 Seite(n): 65, 66, Zeilen: 65: letzte Zeilen; 66: 1ff |
|---|---|
| [Die ebenfalls FITC-markierten Ly49 positiven-Lymphozyten (Natürliche Killerzellen) wurden in einem weiteren] Punktediagramm auf der Ordinate (FL1 -Kanal) gegen den FL2-Kanal (Abzisse) dargestellt. Ly49-positive Lymphozyten befanden sich demzufolge im obere rechten Quadranten (Abbildung 10).
Mit Hilfe der Software konnte so der prozentuale Anteil der entsprechend markierten Zellen in den einzelnen Quadranten, d.h. der relative Anteil der einzelnen Lymphozytensubpopulationen in jeder Probe gemessen werden. |
Die ebenfalls FITC-markierten Ly49+-Lymphozyten (Natürliche Killerzellen) wurden in einem weiteren Punktediagramm auf der Abszisse (FL1-Kanal) gegen den FL2-Kanal
[Seite 66] dargestellt. Ly49-positive Lymphozyten befanden sich demzufolge im unteren rechten Quadranten (Abbildung 8). [...] Mit Hilfe des Computerprogramms konnte so der prozentuale Anteil der entsprechend markierten Zellen in den einzelnen Quadranten, d.h. der relative Anteil der einzelnen Lymphozytensubpopulationen in jeder Probe gemessen werden. |
Ein Verweis auf die Quelle fehlt. |
|
| [27.] Lcg/Fragment 046 01 - Diskussion Zuletzt bearbeitet: 2015-11-15 12:40:48 Klgn | Fragment, Gesichtet, Lcg, Mallig 2006, SMWFragment, Schutzlevel sysop, Verschleierung |
|
|
| Untersuchte Arbeit: Seite: 46, Zeilen: 1ff (komplett) |
Quelle: Mallig 2006 Seite(n): 66, 67, Zeilen: 66: 6ff; 67: 1ff |
|---|---|
| 4.10.3 Zytokinmessung im Plasma
Die Detektion der Konzentrationen von den Zytokinen TNF-α, MCP-1, IL-6, IL-12 und IFN-γ in den Plasmaproben erfolgte mit Hilfe eines ,,Cytometric Bead Arrays“, kurz CBA (BDTM [sic] Cytometric Bead Array Mouse Inflammation Kit, BD Biosciences Pharmingen). Herstellung des Standards Der Standard (,,Mouse Inflammation Standard“) der die zu untersuchenden Zytokine in lyophilisierten Zustand enthält, wurde mit 0,2 ml Verdünnungsflüssigkeit (,,Assay Diluent“) vermischt und für mindestens 15 Minuten inkubiert. Diese Lösung diente der Erstellung der Standardreihe mit Konzentrationen zwischen 2.500 pg/ml und 2,5 pg/ml, entsprechend der im Anhang angegebenen Verdünnungen. Die Verdünnungsflüssigkeit diente als Negativkontrolle. Vorbereitung der Capture Bead-Mischung Da die an bestimmte Capture Beads gekoppelten Antikörper getrennt aufbewahrt waren, musste man, um eine Antikörper-Mischung (Mixed Capture Beads) herzustellen, von jedem Antikörper jeweils 10 μl pro auszuwertendes Messröhrchen, (inklusiv Standards und Negativkontrolle) in ein Gefäß pipettieren und mischen. Vorbehandlung der Proben Von jeder Plasmaprobe bzw. von jedem Standard wurden je 50 μl in ein FACS-Röhrchen pipettiert. 50 μl PE-gekoppeltes “Detection Reagent“ (PE konjugierte spezifische Antikörper für die genannten Zytokine) und 50 μl des ,,Bead“- Gemisches wurden hinzugefügt und vermischt. |
4.4.4.2 Zytokinmessung im Plasma
Die Messung1 der Konzentrationen der Zytokine TNF-α, MCP-1, IL-6, IL-10, IL-12p70 und IFN-γ in den Plasmaproben erfolgte mit Hilfe eines sogenannten „Cytometric Bead Arrays“, kurz CBA genannt (BDTM Cytometric Bead Array Mouse Inflammation Kit, BD Biosciences Pharmingen; Kapitel 2.7.2). Herstellung des Standards: Der die sechs zu untersuchenden lyophilisierten murinen Zytokine enthaltende Standard („Mouse Inflammation Standard“) wurde mit 0,2 ml Verdünnungsflüssigkeit [Seite 67] („Assay Diluent“) vermischt und für mindestens 15 Minuten inkubiert. Diese Lösung diente nun der Erstellung der Standardreihe mit Konzentrationen zwischen 2.500 pg/ml und 2,5 pg/ml entsprechend der im Anhang angegebenen Verdünnungen. Die Verdünnungsflüssigkeit diente als Negativkontrolle. Vorbereitung der „Capture Bead”-Mischung: Da die an bestimmte „Capture Beads“ gekoppelten Antikörper getrennt aufbewahrt waren, musste man, um eine Antikörper-Mischung („Mixed Capture Beads“) herzustellen, von jedem Antikörper jeweils 10 μl pro auszuwertendes Messröhrchen, (inklusiv Standards und Negativkontrolle) in ein Gefäß pipettieren und mischen. Vorbehandlung der Proben: Von jeder Plasmaprobe bzw. von jedem Standard wurden je 50 μl in ein FACS-Röhrchen pipettiert. 50 μl PE-gekoppeltes “Detection Reagent“ (PE-konjugierte spezifische Antikörper für die genannten Zytokine) und 50 μl des „Bead“-Gemisches wurden hinzugefügt und vermischt. 1 Durchgeführt von Frau Dr. Barkhausen, Labor der Experimentellen Unfallchirurgie der Unfallchirurgischen Klinik der MHH. |
Ein Verweis auf die Quelle fehlt. |
|
| [28.] Lcg/Fragment 047 01 - Diskussion Zuletzt bearbeitet: 2015-11-15 12:22:54 Klgn | Fragment, Gesichtet, Lcg, Mallig 2006, SMWFragment, Schutzlevel sysop, Verschleierung |
|
|
| Untersuchte Arbeit: Seite: 47, Zeilen: 1ff (komplett) |
Quelle: Mallig 2006 Seite(n): 67, Zeilen: 14ff |
|---|---|
| Alle Reagenzien, mit Ausnahme des Standards,
[Seite 47] wurden vor dem Pipettieren aufgeschüttelt (Vortex, VF2, Janke & Kunkel IKA-Labortechnik, Staufen i. Br.). Es folgte eine zweistündige Inkubation im Dunkeln bei Raumtemperatur, während der die Zytometer-Setup-Proben zur Kalibrierung des Zytometers angesetzt wurden. Hierfür wurde in drei Röhrchen (A, B und C) je 50 μl des vorher aufgeschüttelten Cytometer Setup Beads pipettiert. In Röhrchen B wurden 50 μl FITC Positive Control Detector und in Röhrchen C 50 μl PE Positive Control Detector zugefügt. Nach einer 30-minütigen Inkubation im Dunkeln und bei Raumtemperatur wurden die drei Röhrchen mit dem Waschpuffer PBS auf ein Gesamtvolumen von 500 μl aufgefüllt und die Kalibrierung des Durchflusszytometers durchgeführt. Nach der zweistündigen Inkubation der Proben wurde in jedes Röhrchen 1.000 μl Waschpuffer pipettiert. Es folgte eine Zentrifugation für 5 Minuten bei einer Temperatur von 21 °C und 4500 rpm. Nach Verwerfen des Überstandes und Hinzufügen von 300 μl PBS wurden die Proben der FACS-Messung zugeführt. |
Alle Reagenzien, mit Ausnahme des Standards, wurden vor dem Pipettieren aufgeschüttelt (Vortex, VF2, Janke & Kunkel IKA-Labortechnik, Staufen i. Br.).
Es folgte eine zweistündige Inkubation im Dunkeln bei Raumtemperatur, während der die Zytometer-Setup-Proben zur Kalibrierung des Zytometers angesetzt wurden. Hierfür wurde in drei Röhrchen (A, B und C) je 50 μl der vorher aufgeschüttelten „Cytometer Setup Beads“ pipettiert. In Röhrchen B wurden 50 μl „FITC Positive Control Detector“ und in Röhrchen C 50 μl „PE Positive Control Detector“ zugefügt. Nach einer 30-minütigen Inkubation bei Raumtemperatur und unter Lichtausschluss wurden die drei Röhrchen mit dem Waschpuffer PBS auf ein Gesamtvolumen von 500 μl aufgefüllt und die Kalibrierung des Durchflusszytometers durchgeführt. Nach einer zweistündigen Inkubation der Proben wurde in jedes Röhrchen 1.000 μl Waschpuffer hinzupipettiert. Es folgte eine Zentrifugation für 5 Minuten bei einer Temperatur von 21°C und 450×g. Nach Abpipettieren des Überstandes und Hinzufügen von 300 μl PBS wurden die Proben der FACS-Messung zugeführt. |
Ein Verweis auf die Quelle fehlt. |
|
| [29.] Lcg/Fragment 048 01 - Diskussion Zuletzt bearbeitet: 2015-11-18 10:24:09 Klgn | Fragment, Gesichtet, KomplettPlagiat, Lcg, Mallig 2006, SMWFragment, Schutzlevel sysop |
|
|
| Untersuchte Arbeit: Seite: 48, Zeilen: 1ff (komplett) |
Quelle: Mallig 2006 Seite(n): 68, Zeilen: 1ff |
|---|---|
| 4.11 Statistische Auswertung
Die statistische Auswertung der ermittelten Daten erfolgte mit dem Programm SPSS Version 13 (SPSS Inc., Chicago, USA). In der vorliegenden Arbeit werden jeweils die arithmetischen Mittelwerte mit den zugehörigen Standardabweichungen angegeben. Die Signifikanzen wurden mittels einfaktorieller Varianzanalyse (ANOVA, Analysis of Variance) ermittelt bzw. bei ordinalen Daten mit dem Kruskal-Wallis-Test geprüft. Ein Ergebnis wurde bei einem p-Wert von p < 0,05 als signifikant und bei p < 0,01 als hochsignifikant angesehen. Auf eine Tendenz wiesen Werte zwischen p = 0,05 und p = 0,1 hin. Bei vorhandenen Signifikanzen wurde der Scheffé-Test für einen paarweisen Gruppenvergleich durchgeführt. Die graphische Darstellung erfolgte mit Hilfe von Säulendiagrammen die den Mittelwert und die Standardabweichung beinhalten. Bei nicht normalverteilten Daten (Beurteilung von Lunge, Leber, Milz und Niere) wurde der χ2-Test in Kreuztabellen nach Pearson verwendet. Graphisch dargestellt wurden sie in einem gestapelten Säulendiagramm. Parameter, die zu mehreren Zeitpunkten erfasst worden waren (klinische Parameter und Messung der Ohrdicke), wurden einzeln für jeden Messzeitpunkt analysiert. Außerdem wurden diese Daten mit Hilfe des General Linear Model für „repeated measurements“ auf Unterschiede im Zeitverlauf getestet. Hierbei galt ein Ergebnis als signifikant bei p < 0,05 für Wilks’Lambda. Bei diesen Parametern wurden die arithmetischen Mittelwerte und die Standardabweichung graphisch dargestellt. Die Daten der histologischen Gehirnbeurteilung, wurden mit Hilfe des t-Tests für Korrelationskoeffizienten (Pearson) auf vorhandene Korrelationen getestet. Die Überlebensraten wurden in einer Kreuztabelle mit dem χ2-Test nach Pearson berechnet und zusätzlich mit dem Fishers Exakter Test geprüft. Mit Hilfe der Methode nach Kaplan-Meier erfolgte die Beurteilung der Überlebenszeiten. |
4.4.5 Statistik
Die statistische Auswertung der ermittelten Daten erfolgte mit dem Programm SPSS Version 13 (SPSS Inc., Chicago, USA). In der vorliegenden Arbeit werden jeweils die arithmetischen Mittelwerte mit den zugehörigen Standardabweichungen angegeben. Die Signifikanzen wurden mittels einfaktorieller Varianzanalyse (ANOVA, Analysis of Variance) ermittelt bzw. bei ordinalen Daten mit dem Kruskal-Wallis-Test geprüft. Ein Ergebnis wurde bei einem p-Wert von p < 0,05 als signifikant und bei p < 0,01 als hochsignifikant angesehen. Auf eine Tendenz wiesen Werte zwischen p = 0,05 und p = 0,1 hin. Bei vorhandenen Signifikanzen wurde der Scheffé-Test für einen paarweisen Gruppenvergleich durchgeführt. Die graphische Darstellung erfolgte mit Hilfe von Boxplots, die den Median, die 25%- und 75%-Quantile und die Spannweite bzw. Ausreißer (Werte, die mehr als 1,5 × Interquartilsabstand vom oberen bzw. unteren Quartil entfernt liegen) und Extremwerte (Werte, die mehr als 3 × Interquartilsabstand vom oberen bzw. unteren Quartil entfernt liegen) beinhalten. Bei nicht normalverteilten Daten (Beurteilung von Lunge, Leber, Milz und Niere) wurde der χ2-Test in Kreuztabellen nach Pearson verwendet. Graphisch dargestellt wurden sie in einem gestapelten Säulendiagramm. Parameter, die zu mehreren Zeitpunkten erfasst worden waren (klinische Parameter und Messung der Ohrdicke), wurden einzeln für jeden Messzeitpunkt analysiert. Außerdem wurden diese Daten mit Hilfe des General Linear Model für „repeated measurements“ auf Unterschiede im Zeitverlauf getestet. Hierbei galt ein Ergebnis als signifikant bei p < 0,05 für Wilks’ Lambda. Bei diesen Parametern wurden die arithmetischen Mittelwerte und die 95%-Konfidenzintervalle (95% CI) graphisch dargestellt. Die Daten der histologischen Gehirnbeurteilung, bei denen sowohl die rechte als auch die linke Gehirnhälfte beurteilt worden waren, wurden mit Hilfe des t-Tests für Korrelationskoeffizienten (Pearson) auf vorhandene Korrelationen getestet. Die Überlebensraten wurden in einer Kreuztabelle mit dem χ2-Test nach Pearson berechnet und zusätzlich mit dem Fishers Exakter Test geprüft. Mit Hilfe der Methode nach Kaplan-Meier erfolgte die Beurteilung der Überlebenszeiten. |
Ein Verweis auf die Quelle fehlt. |
|
| [30.] Lcg/Fragment 064 07 - Diskussion Zuletzt bearbeitet: 2015-11-18 10:27:14 Klgn | Fragment, Gesichtet, KomplettPlagiat, Lcg, Mallig 2006, SMWFragment, Schutzlevel sysop |
|
|
| Untersuchte Arbeit: Seite: 64, Zeilen: 7-13 |
Quelle: Mallig 2006 Seite(n): 89, Zeilen: 4-13 |
|---|---|
| Nissl-Färbung
Bei der qualitativen Auswertung der Nissl-gefärbten Präparate des Cortex wurden teilweise deutliche Veränderungen hinsichtlich der kortikalen Zellstruktur festgestellt. So wurde ein Verlust der vertikalen Zellsäulenstruktur und ein ödematös aufgelockerter bis aufgelöster Zellverband beobachtet. Außerdem fiel eine deutliche Abnahme der Dichte vital erscheinender Neurone auf. Degenerative Veränderungen in Form einer tigrolytischen Rückbildung der Nissl-Schollen und pyknotische Zellkernverdichtungen konnten beobachtet werden (Abbildung 51). |
5.4.5.2 Nissl-Färbung
Bei der qualitativen Auswertung der Nissl-gefärbten Präparate des Cortex in der Region der maximalen Traumaausprägung wurden bei den Tieren, bei welchen ein Schädelhirntrauma induziert worden war (Schädelhirntrauma- und Polytrauma-Gruppe), teilweise deutliche Veränderungen hinsichtlich der kortikalen Zellstruktur festgestellt. So wurde ein Verlust der vertikalen Zellsäulenstruktur und ein ödematös aufgelockerter bis aufgelöster Zellverband beobachtet. Außerdem fiel eine deutliche Abnahme der Dichte vital erscheinender Neurone auf. Degenerative Veränderungen in Form einer tigrolytischen Rückbildung der Nissl-Schollen und pyknotische Zellkernverdichtungen konnten beobachtet werden. |
Ein Verweis auf die Quelle fehlt. |
|
| [31.] Lcg/Fragment 065 01 - Diskussion Zuletzt bearbeitet: 2015-11-18 10:29:47 Klgn | Fragment, Gesichtet, Lcg, Mallig 2006, SMWFragment, Schutzlevel sysop, Verschleierung |
|
|
Ein Verweis auf die Quelle fehlt. |
|
| [32.] Lcg/Fragment 066 01 - Diskussion Zuletzt bearbeitet: 2015-11-18 10:36:14 Klgn | Fragment, Gesichtet, Lcg, Mallig 2006, SMWFragment, Schutzlevel sysop, Verschleierung |
|
|
| Untersuchte Arbeit: Seite: 66, Zeilen: 1-4, Abbildung 54 |
Quelle: Mallig 2006 Seite(n): 90, 91, 94, Zeilen: 90: letzte Überschrift; 91: 1-4; 94: Abbildung (1A, 3B) |
|---|---|
| GFAP-Färbung
Bei der qualitativen Betrachtung fiel eine deutliche Hyperplasie und Hypertrophie der Astrozyten auf. Diese beidseitige reaktive Gliose zeigte sich im Cortex und in der darunter liegenden weißen Substanz sowie im Hippocampus. [...] [...] Abbildung 54: Histologische Präparate aus dem Cortex (Bereich des Cingulums): Dargestellt sind beispielhaft die unterschiedlichen Ausprägungen der Astrogliose, A: geringgradige Astrogliose, B: ausgeprägte Astrogliose; Nissl-Färbung, 100fache Vergrößerung, Messbalken: 200 μm |
[5.4.5.3 GFAP-Färbung]
[Seite 91] Bei der qualitativen Betrachtung fiel eine deutliche Hyperplasie und Hypertrophie der Astrozyten auf. Diese war im Cortex besonders an den medialen und lateralen Randzonen der Kontusion und in der darunter liegenden weißen Substanz entlang der Kraftlinien zu beobachten. [Seite 94] Abbildung 35: Histologische Präparate des rechten (A) und linken (B) Cortex (Bereich des Cingulums) der Schädelhirntrauma- (1), Fraktur-Schock- (2) und Polytrauma-Gruppe (3): Dargestellt sind beispielhaft die unterschiedlichen Ausprägungen der Astrogliose im Seitenvergleich; Nissl-Färbung, 100fache Vergrößerung, Messbalken: 200 μm |
Ein Verweis auf die Quelle fehlt. In der Quelle besteht die Abbildung aus 3x2 Teilabbildungen. Die Abbildungen links oben und rechts unten sind wiedergegeben. Aus diesen Teilabbildungen wurden die Abbildungen der untersuchten Arbeit offenbar ausgeschnitten. |
|
| [33.] Lcg/Fragment 069 12 - Diskussion Zuletzt bearbeitet: 2015-10-12 21:02:34 WiseWoman | Fragment, Gesichtet, Lcg, Mallig 2006, SMWFragment, Schutzlevel sysop, Verschleierung |
|
|
| Untersuchte Arbeit: Seite: 69, Zeilen: 12-17 |
Quelle: Mallig 2006 Seite(n): 113, 118, Zeilen: 113: 25-28; 118: 6-10 |
|---|---|
| Fällt die Temperatur weiter ab, sind die Kapazitäten des Körpers zur Thermoregulation erschöpft. Eine Hypothermie ist ein wichtiger Prognosefaktor für die Letalität(124). In verschiedenen Studien konnte gezeigt werden, dass sich die Letalität schädelhirnverletzter Patienten durch einen zusätzlichen hypovolämischen Schock verdoppelte bzw. sich sogar von 12,8% auf 62,1% erhöhte(125,126).
124. Hildebrand, F., Giannoudis, P. V., Van Griensven, M., Chawda, M., and Pape, H. C.: Pathophysiologic changes and effects of hypothermia on outcome in elective surgery and trauma patients, Am.J.Surg. 187:363-371, 2004 125. McMahon, C. G., Yates, D. W., Campbell, F. M., Hollis, S., and Woodford, M.: Unexpected contribution of moderate traumatic brain injury to death after major trauma, J.Trauma 47:891-895, 1999 126. Siegel, J. H., Gens, D. R., Mamantov, T., Geisler, F. H., Goodarzi, S., and MacKenzie, E. J.: Effect of associated injuries and blood volume replacement on death, rehabilitation needs, and disability in blunt traumatic brain injury, Crit Care Med. 19:1252-1265, 1991 |
Bei herabgesetzter Körpertemperatur sind die Kapazitäten des Körpers zur Thermoregulation erschöpft. Eine Hypothermie ist ein wichtiger Prognosefaktor für die Letalität (MALONE et al. 2001; HILDEBRAND et al. 2004).
[Seite 118] In verschiedenen Studien konnte gezeigt werden, dass sich die Sterblichkeitsrate schädelhirnverletzter Patienten durch einen zusätzlichen hypovolämischen Schock verdoppelte bzw. sich sogar von 12,8% auf 62,1% erhöhte (SIEGEL et al. 1991; MCMAHON et al. 1999). |
Ein Verweis auf die Quelle fehlt. |
|
| [34.] Lcg/Fragment 070 05 - Diskussion Zuletzt bearbeitet: 2015-12-05 17:54:19 Schumann | Fragment, Gesichtet, Lcg, Mallig 2006, SMWFragment, Schutzlevel sysop, Verschleierung |
|
|
| Untersuchte Arbeit: Seite: 70, Zeilen: 4-23 |
Quelle: Mallig 2006 Seite(n): 113, 119, Zeilen: 113: 24-25; 119: 5ff |
|---|---|
| In Rahmen anderer experimenteller Modelle, zeigte sich das verwendete Bewertungsschema als wissenschaftlich nutzbar(127,123,111).Im Rahmen dieser Arbeit hätte sich jedoch bedingt durch das sehr hohe Aktivitätsniveau eine neurologische Beurteilung beispielsweise mit Hilfe eines „Neurological Severity Score“ für Mäuse eine bessere Aussagekraft über die durch das Schädelhirntrauma verursachten Beeinträchtigungen ergeben. Dieser Score ist bereits etabliert und wird auch verwendet(128,129). Dies sollte in weiterführenden Untersuchungen berücksichtigt werden.
Einer durch Narkose ausgelösten und während der Aufwachphase, unter anderem der noch durch herabgesetzte Aktivität verminderten Fähigkeit zu ausreichender Thermoregulation mit nachfolgender Hypothermie wurde mit Hilfe einer Wärmelampe entgegengewirkt. Dennoch war 12h post Trauma bei beiden Gruppen eine erniedrigte Körperkerntemperatur zu messen, was bei nicht traumatisierten Tieren unter gleichen Bedingungen nicht zu beobachten ist (Van Griensven, persönliche Kommunikation). Im Beobachtungszeitraum konnten sowohl bei den WT- als auch bei den IL-6-/- Tieren nicht wieder Normalwerte erreicht werden. Ein Polytrauma kann zu einer Erniedrigung der Körpertemperatur führen, so wird eine Hypothermie in der Literatur regelmäßig nach schwerem Trauma und hämorrhagischem Schock beschrieben. Sie wird auf eine unzureichende Wärmeproduktion aufgrund von ATP-Nutzung unter anaeroben Bedingungen zurückgeführt(130,131). 111. Van Griensven, M., Kuzu, M., Breddin, M., Bottcher, F., Krettek, C., Pape, H. C., and Tschernig, T.: Polymicrobial sepsis induces organ changes due to granulocyte adhesion in a murine two hit model of trauma, Exp.Toxicol.Pathol. 54:203-209, 2002 123. Van Griensven, M., Dahlweid, F. M., Giannoudis, P. V., Wittwer, T., Bottcher, F., Breddin, M., and Pape, H. C.: Dehydroepiandrosterone (DHEA) modulates the activity and the expression of lymphocyte subpopulations induced by cecal ligation and puncture, Shock 18:445-449, 2002 127. Mirzayan, M. J., Probst, C., Krettek, C., Samii, M., Pape, H. C., Van Griensven, M., and Samii, A.: Systemic effects of isolated brain injury: an experimental animal study, Neurol.Res. 30:457-460, 2008 128. Stahel, P. F., Flierl, M. A., Morgan, B. P., Persigehl, I., Stoll, C., Conrad, C., Touban, B. M., Smith, W. R., Beauchamp, K., Schmidt, O. I., Ertel, W., and Leinhase, I.: Absence of the complement regulatory molecule CD59a leads to exacerbated neuropathology after traumatic brain injury in mice, J.Neuroinflammation. 6:2, 2009 129. Tsenter, J., Beni-Adani, L., Assaf, Y., Alexandrovich, A. G., Trembovler, V., and Shohami, E.: Dynamic changes in the recovery after traumatic brain injury in mice: effect of injury severity on T2-weighted MRI abnormalities, and motor and cognitive functions, J.Neurotrauma 25:324-333, 2008 130. Seekamp, A., Van Griensven, M., Hildebrandt, F., Wahlers, T., and Tscherne, H.: Adenosine-triphosphate in trauma-related and elective hypothermia, J.Trauma 47:673-683, 1999 131. Martin, R. S., Kilgo, P. D., Miller, P. R., Hoth, J. J., Meredith, J. W., and Chang, M. C.: Injury-associated hypothermia: an analysis of the 2004 National Trauma Data Bank, Shock 24:114-118, 2005 |
[Seite 113]
Ein Polytrauma kann zu einer Erniedrigung der Körpertemperatur führen. [Seite 119] Dabei hat sich das verwendete Bewertungsschema als wissenschaftlich nutzbar erwiesen (BÖTTCHER u. BREDDIN 2001; BERGMANN 2006). Im Rahmen des in der vorliegenden Arbeit verwendeten experimentellen Modells hätte jedoch bedingt durch das allgemein sehr hohe Aktivitätsniveau eine neurologische Beurteilung beispielsweise mit Hilfe eines „Neurological Severity Score“ für Mäuse (STAHEL et al. 2000), der unter anderem einen „Beam Walking“-Test beinhaltet, eine höhere Aussagekraft über die durch das Schädelhirntrauma verursachten Beeinträchtigungen ergeben. Dies sollte in weiterführenden Untersuchungen ergänzend ermittelt werden. Einer durch die Narkose ausgelösten und während der Aufwachphase unter anderem durch noch herabgesetzte Aktivität verminderte Fähigkeit zu ausreichender Thermoregulation resultierenden zu starken Hypothermie wurde mit Hilfe einer Wärmelampe entgegengewirkt. Dennoch waren zwölf Stunden nach Trauma bei allen Versuchsgruppen die Körperinnentemperaturen etwas gefallen, was man bei nicht traumatisierten Tieren unter gleichen Bedingungen nicht beobachtet (VAN GRIENSVEN, persönliche Kommunikaton [sic]). Bei den Tieren der Polytrauma-Gruppe und insbesondere der Fraktur-Schock-Gruppe könnte man die verminderte Temperatur zwar mit dem geringfügig geminderten Aktivitätsverhalten erklären. Da die Schädelhirntrauma-Gruppe jedoch zwölf Stunden nach Trauma ein uneingeschränktes Aktivitätsniveau von 6 ± 0 Punkten aufwies, lässt sich der Abfall der Körpertemperatur zu diesem Messzeitpunkt damit nicht begründen, so dass er auf das Trauma zurückzuführen sein müsste. In der Literatur wird eine Hypothermie regelmäßig nach schwerem Trauma und hämorrhagischem Schock beschrieben. Sie wird auf eine unzureichende Wärmeproduktion aufgrund ATP-Nutzung unter anaeroben Bedingungen zurückgeführt (SEEKAMP et al. 1999; MARTIN et al. 2005). |
Ein Verweis auf die Quelle fehlt. Es ist bemerkenswert, dass wohl sowohl die Autorin der Quelle als auch der Autor der untersuchten Arbeit mit M. Van Griensven zum selben Thema persönlich kommuniziert haben: "(Van Griensven, persönliche Kommunikation)". |
|
| [35.] Lcg/Fragment 074 20 - Diskussion Zuletzt bearbeitet: 2015-12-05 17:55:42 Schumann | Fragment, Gesichtet, Lcg, Mallig 2006, SMWFragment, Schutzlevel sysop, Verschleierung |
|
|
| Untersuchte Arbeit: Seite: 74, Zeilen: 20-25 |
Quelle: Mallig 2006 Seite(n): 32, Zeilen: 3-12 |
|---|---|
| Bezüglich der Freisetzung von IL-12 bei Traumapatienten liegen in der Literatur widersprüchliche Ergebnisse vor. Es werden sowohl erniedrigte als auch erhöhte IL- 12 Plasmalevel bei Polytraumapatienten und signifikant erhöhte IL-12 Werte bei Schädelhirntraumapatienten im Liquor beschrieben(144,78,145). Auch etwaige Zusammenhänge zwischen IL-12 Werten und der Letalität werden kontrovers diskutiert(144,77,145).
77. Wick, M., Kollig, E., Walz, M., Muhr, G., and Koller, M.: [Does liberation of interleukin-12 correlate with the clinical course of polytraumatized patients?], Chirurg 71:1126-1131, 2000 78. Stahel, P. F., Kossmann, T., Joller, H., Trentz, O., and Morganti- Kossmann, M. C.: Increased interleukin-12 levels in human cerebrospinal fluid following severe head trauma, Neurosci.Lett. 249:123-126, 19-6-1998 144. O'Sullivan, S. T., Lederer, J. A., Horgan, A. F., Chin, D. H., Mannick, J. A., and Rodrick, M. L.: Major injury leads to predominance of the T helper-2 lymphocyte phenotype and diminished interleukin-12 production associated with decreased resistance to infection, Ann.Surg. 222:482-490, 1995 145. Arand, M., Melzner, H., Kinzl, L., Bruckner, U. B., and Gebhard, F.: Early inflammatory mediator response following isolated traumatic brain injury and other major trauma in humans, Langenbecks Arch.Surg. 386:241-248, 2001 |
Bezüglich der Freisetzung von IL-12 bei Traumapatienten liegen in der Literatur widersprüchliche Ergebnisse vor. So wurden sowohl erniedrigte als auch erhöhte IL-12-Plasmalevel bei Polytraumapatienten und signifikant erhöhte IL-12-Werte bei Schädelhirntraumapatienten in der Zerebrospinalflüssigkeit gemessen (O'SULLIVAN et al. 1995; STAHEL et al. 1998; WICK et al. 2000). Auch etwaige Zusammenhänge zwischen IL-12-Werten und der Letalität werden kontrovers diskutiert (O'SULLIVAN et al. 1995; WICK et al. 2000; ARAND et al. 2001). |
Ein Verweis auf die Quelle fehlt. |
|
| [36.] Lcg/Fragment 075 11 - Diskussion Zuletzt bearbeitet: 2015-10-12 18:47:16 WiseWoman | Fragment, Gesichtet, Lcg, Mallig 2006, SMWFragment, Schutzlevel sysop, Verschleierung |
|
|
| Untersuchte Arbeit: Seite: 75, Zeilen: 11-16 |
Quelle: Mallig 2006 Seite(n): 131, Zeilen: 14-20 |
|---|---|
| Das Chemokin MCP-1 ist bei der Entstehung von Organdysfunktionen nach Trauma durch seine chemotaktische Wirkung auf verscheiden [sic] Leukozytenpopulationen von Bedeutung. Es lässt sich nach Ischämie und Reperfusion im Serum nachweisen(146). Auch im Gehirn ist die Expression von MCP-1 nach Trauma in Ratten nachgewiesen worden(147), wobei es eine Schlüsselrolle bei der Einwanderung von Leukozyten über die Bluthirnschranke spielt(148).
146. Jedynak, M., Siemiatkowski, A., Gacko, M., Mroczko, B., and Borkowski, J.: Serum concentrations of MCP-1 and RANTES in patients during aortic surgery: the relationship with ischemia-reperfusion, Arch.Immunol.Ther.Exp.(Warsz.) 52:201-207, 2004 147. Berman, J. W., Guida, M. P., Warren, J., Amat, J., and Brosnan, C. F.: Localization of monocyte chemoattractant peptide-1 expression in the central nervous system in experimental autoimmune encephalomyelitis and trauma in the rat, J.Immunol. 156:3017-3023, 15-4-1996 148. Harkness, K. A., Sussman, J. D., Davies-Jones, G. A., Greenwood, J., and Woodroofe, M. N.: Cytokine regulation of MCP-1 expression in brain and retinal microvascular endothelial cells, J.Neuroimmunol. 142:1-9, 2003 |
Das Chemokin MCP-1 ist bei der Entstehung der Organdysfunktion nach hämorrhagischem Schock durch seine chemotaktische Wirkung auf verschiedene Leukozytenpopulationen von Bedeutung. Es lässt sich nach Ischämie-Reperfusion im Serum nachweisen (JEDYNAK et al. 2004). Auch im Gehirn ist die Expression von MCP-1 nach Trauma in Ratten nachgewiesen worden (BERMAN et al. 1996), wobei es eine Schlüsselrolle bei der Einwanderung von Leukozyten über die Bluthirnschranke spielt (HARKNESS et al. 2003). |
Ein Verweis auf die Quelle fehlt. |
|
| [37.] Lcg/Fragment 075 22 - Diskussion Zuletzt bearbeitet: 2015-10-03 22:04:42 Hindemith | Fragment, Gesichtet, KomplettPlagiat, Lcg, Mallig 2006, SMWFragment, Schutzlevel sysop |
|
|
| Untersuchte Arbeit: Seite: 75, Zeilen: 22-26 |
Quelle: Mallig 2006 Seite(n): 130, 131, Zeilen: 130: letzter Absatz; 131: 1-2 |
|---|---|
| Erhöhte TNF-α Spiegel im Plasma wurden sowohl bei Untersuchungen an einem Hämorrhagie-Modell an Mäusen, als auch bei Traumapatienten nachgewiesen(39,115,149). Auch eine Korrelation mit der Schwere des Traumas konnte festgestellt werden(150). An ARDS bzw. MODS verstorbene Patienten wiesen signifikant höhere TNF-α Spiegel kurz nach dem Trauma auf als Überlebende(63). Ein [Schädelhirntrauma an Ratten führte ebenfalls zu erhöhten TNF-α-Spiegeln im Plasma(151).]
39. Ayala, A., Perrin, M. M., Meldrum, D. R., Ertel, W., and Chaudry, I. H.: Hemorrhage induces an increase in serum TNF which is not associated with elevated levels of endotoxin, Cytokine 2:170-174, 1990 63. Roumen, R. M., Hendriks, T., van, der, V, Nieuwenhuijzen, G. A., Sauerwein, R. W., van der Meer, J. W., and Goris, R. J.: Cytokine patterns in patients after major vascular surgery, hemorrhagic shock, and severe blunt trauma. Relation with subsequent adult respiratory distress syndrome and multiple organ failure, Ann.Surg. 218:769-776, 1993 115. Ferguson, B., Matyszak, M. K., Esiri, M. M., and Perry, V. H.: Axonal damage in acute multiple sclerosis lesions, Brain 120 ( Pt 3):393-399, 1997 149. Spielmann, S., Kerner, T., Ahlers, O., Keh, D., Gerlach, M., and Gerlach, H.: Early detection of increased tumour necrosis factor alpha (TNFalpha) and soluble TNF receptor protein plasma levels after trauma reveals associations with the clinical course, Acta Anaesthesiol.Scand. 45:364-370, 2001 150. Jiang, J., Tian, K., and Chen, H.: [Changes of plasma cytokines in patients with severe trauma and their relationship with organ damage], Zhonghua Wai Ke.Za Zhi. 35:406-407, 1997 151. Kamm, K., Vanderkolk, W., Lawrence, C., Jonker, M., and Davis, A. T.: The effect of traumatic brain injury upon the concentration and expression of interleukin-1beta and interleukin-10 in the rat, J.Trauma 60:152-157, 2006 |
Erhöhte TNF-α-Spiegel im Plasma wurden sowohl bei Untersuchungen an einem Hämorrhagie-Modell an Mäusen als auch bei Traumapatienten nachgewiesen (AYALA et al. 1990, 1991; FERGUSON et al. 1997; JIANG et al. 1997b; SPIELMANN et al. 2001). Auch eine Korrelation mit der Schwere des Traumas konnte festgestellt werden (JIANG et al. 1997a). An ARDS bzw. MODS verstorbene Patienten wiesen signifikant höhere TNF-α-Spiegel kurz nach dem Trauma auf als
[Seite 131] Überlebende (ROUMEN et al. 1993). Ein Schädelhirntrauma an Ratten führte ebenfalls zu erhöhten TNF-α-Spiegeln im Plasma (KAMM et al. 2006). |
Ein Verweis auf die eigentliche Quelle fehlt. |
|
| [38.] Lcg/Fragment 076 21 - Diskussion Zuletzt bearbeitet: 2015-10-12 18:45:21 WiseWoman | Fragment, Gesichtet, Lcg, Mallig 2006, SMWFragment, Schutzlevel sysop, Verschleierung |
|
|
| Untersuchte Arbeit: Seite: 76, Zeilen: 21-26 |
Quelle: Mallig 2006 Seite(n): 134, Zeilen: 12-20 |
|---|---|
| Bei der Betrachtung der Gesamtheit der in dieser Studie gemessenen Zytokine fällt auf, dass die erreichten Serum-Konzentrationen geringer sind, als die, die man bei einer Sepsis feststellen kann. An einem vergleichbaren experimentellen Modell, bei dem an dem selben Mäusestamm der gleiche traumatisch-hämorrhagische Schock induziert, danach jedoch der Verlauf einer polymikrobiellen Sepsis mittels caecaler Ligatur und Punktion simuliert wurde, konnten unter gleichen Laborbedingungen und [–methoden die dreifachen bis über hundertfachen Plasmazytokinkonzentrationen gemessen werden(153)]
153. BERGMANN, B: Wirkung eines Pan-Selektinantagonisten auf die inflammatorische Immunreaktion in einem multi-hit-Traumamodell der Maus mit nachfolgender Sepsis. Hannover, Tierärztliche Hochschule, Institut für Pharmakologie, Toxikologie und Pharmazie, Diss., 2006 |
Bei der Betrachtung der Gesamtheit der in dieser Studie gemessenen Zytokine fällt auf, dass lediglich die proinflammatorischen Zytokine erhöht waren, nicht jedoch IL-10. Die gemessenen Konzentrationen erreichten dabei bei weitem nicht die Werte, die man bei einer Sepsis feststellen kann. An einem vergleichbaren experimentellen Modell, bei dem an demselben Mäusestamm der gleiche traumatischhämorrhagische Schock induziert, danach jedoch der Verlauf einer polymikrobiellen Sepsis simuliert wurde, konnten unter gleichen Laborbedingungen und –methoden die dreifachen bis über hundertfachen Plasmazytokinkonzentrationen gemessen werden (BERGMANN 2006).
BERGMANN, B. (2006): |
Ein Verweis auf die Quelle fehlt. |
|
| [39.] Lcg/Fragment 077 01 - Diskussion Zuletzt bearbeitet: 2015-10-04 08:17:01 Klgn | Fragment, Gesichtet, Lcg, Mallig 2006, SMWFragment, Schutzlevel sysop, Verschleierung |
|
|
| Untersuchte Arbeit: Seite: 77, Zeilen: 1-19 |
Quelle: Mallig 2006 Seite(n): 134, 135, Zeilen: 134: 15ff; 135: 1ff |
|---|---|
| [An einem vergleichbaren experimentellen Modell, bei dem an dem selben Mäusestamm der gleiche traumatisch-hämorrhagische Schock induziert, danach jedoch der Verlauf einer polymikrobiellen Sepsis mittels caecaler Ligatur und Punktion simuliert wurde, konnten unter gleichen Laborbedingungen und] –methoden die dreifachen bis über hundertfachen Plasmazytokinkonzentrationen gemessen werden(153).
Bei allen gemessenen Zytokin-Konzentrationen muss bedacht werden, dass es sich um Momentaufnahmen 96 Stunden nach Trauma handelt. Eine vorübergehende Erhöhung bestimmter Zytokine, die bis zum Zeitpunkt der Organentnahme möglicherweise wieder abgenommen hat, kann so nicht festgestellt werden. Interessant wäre in diesem Zusammenhang eine Verlaufsuntersuchung, welche die Zytokin-Konzentrationen im Plasma direkt nach Trauma und nachfolgend in regelmäßigen Abständen erfasst. Des Weiteren ist nach Schädelhirntrauma eine Zytokinfreisetzung im Gehirn nachgewiesen. Man kann davon ausgehen, dass durch eine geschädigte Bluthirnschranke ein Teil dieser intrathekal produzierten Zytokine in der Zirkulation miterfasst werden kann(154). Da die im Plasma gemessenen Zytokine jedoch aus jeglichen Organen oder zirkulierenden Immunzellen stammen können, wäre insbesondere im Hinblick auf den Einfluss des Schädelhirntraumas eine Untersuchung der Zytokine im Liquor cerebrospinalis oder im Gehirnparenchym sinnvoll. Eine Gewinnung von Liquor ist allerdings bei der Maus extrem schwierig. Man sollte jedoch für weitere Studien über einen Nachweis von Zytokinen im Gewebe durch die Herstellung einer Suspension oder mittels histologischer Methoden nachdenken. 153. BERGMANN, B: Wirkung eines Pan-Selektinantagonisten auf die inflammatorische Immunreaktion in einem multi-hit-Traumamodell der Maus mit nachfolgender Sepsis. Hannover, Tierärztliche Hochschule, Institut für Pharmakologie, Toxikologie und Pharmazie, Diss., 2006 154. Kossmann, T., Hans, V. H., Imhof, H. G., Stocker, R., Grob, P., Trentz, O., and Morganti-Kossmann, C.: Intrathecal and serum interleukin-6 and the acute-phase response in patients with severe traumatic brain injuries, Shock 4:311-317, 1995 |
An einem vergleichbaren experimentellen Modell, bei dem an demselben Mäusestamm der gleiche traumatisch-hämorrhagische Schock induziert, danach jedoch der Verlauf einer polymikrobiellen Sepsis simuliert wurde, konnten unter gleichen Laborbedingungen und –methoden die dreifachen bis über hundertfachen Plasmazytokinkonzentrationen gemessen werden (BERGMANN 2006). [...]
Bei allen gemessenen Zytokinkonzentrationen muss außerdem bedacht werden, dass es sich um Momentaufnahmen 96 Stunden nach Trauma handelt. Eine vorübergehende Erhöhung bestimmter Zytokine, die bis zum Zeitpunkt der Organentnahme wieder abgenommen hat, kann so nicht festgestellt werden. Interessant wäre in diesem Zusammenhang eine Verlaufsuntersuchung, welche die Zytokinkonzentrationen im Plasma direkt nach Trauma und nachfolgend in regelmäßigen Abständen erfasst. Des weiteren ist nach Schädelhirntrauma eine Zytokinfreisetzung im Gehirn nachgewiesen. Man kann davon ausgehen, dass durch [Seite 135] eine geschädigte Bluthirnschranke ein Teil dieser intrathekal produzierten Zytokine in der Zirkulation erfasst werden kann (KOSSMANN et al. 1995). Da die im Plasma gemessenen Zytokine jedoch aus jeglichen Organen oder zirkulierenden Immunzellen stammen können, wäre insbesondere im Hinblick auf den Einfluss des Schädelhirntraumas eine Untersuchung der Zytokine im Liquor cerebrospinalis oder im Gehirnparenchym sinnvoll. Eine Gewinnung von Liquor ist allerdings bei der Maus extrem schwierig. Man sollte jedoch für weitere Studien über einen Nachweis von Zytokinen im Gewebe durch die Herstellung einer Suspension oder mittels histologischer Methoden nachdenken. |
Ein Verweis auf die Quelle fehlt. |
|
| [40.] Lcg/Fragment 081 22 - Diskussion Zuletzt bearbeitet: 2015-10-03 06:28:24 Klgn | Fragment, Gesichtet, KomplettPlagiat, Lcg, Mallig 2006, SMWFragment, Schutzlevel sysop |
|
|
| Untersuchte Arbeit: Seite: 81, Zeilen: 22-25 |
Quelle: Mallig 2006 Seite(n): 125, 126, Zeilen: 125: letzte Zeilen; 126: 1-2 |
|---|---|
| Mit Hilfe der Nissl-Färbung erfolgte eine rein deskriptive Beurteilung der neuronalen Schäden unter Berücksichtigung der pyramidalen Zellstrukturen und der allgemeinen Zellarchitektonik im Cortex, sowie insbesondere der hypoxie- und traumaempfindlichen Regionen des Cornu ammonis des Hippocampus. | Mit Hilfe der Nissl-Färbung erfolgte eine rein deskriptive Beurteilung der neuronalen Schäden unter Berücksichtigung der pyramidalen Zellstrukturen und der allgemeinen
[Seite 126] Zellarchitektonik im Cortex sowie insbesondere der hypoxie- und traumaempfindlichen Regionen des Cornu Ammonis des Hippocampus. |
Ein Verweis auf die Quelle fehlt. |
|
| [41.] Lcg/Fragment 082 01 - Diskussion Zuletzt bearbeitet: 2015-10-04 13:47:37 Klgn | Fragment, Gesichtet, Lcg, Mallig 2006, SMWFragment, Schutzlevel sysop, Verschleierung |
|
|
| Untersuchte Arbeit: Seite: 82, Zeilen: 1-7 |
Quelle: Mallig 2006 Seite(n): 126, Zeilen: 3ff |
|---|---|
| Analog zur bestehenden Literatur wurden auch in dieser Arbeit nach der Induktion des Schädelhirntraumas neuronale Schädigungen sowie Verluste vital erscheinender Neurone und ödematöse Auflockerungen des kortikalen Zellverbandes beobachtet, die pathophysiologische Mechanismen nach traumatischen Gehirnschäden darstellen(169,170). Die Veränderungen im Hippocampus entsprachen dem Bild hypoxie- und traumainduzierter Schädigungen mit selektiv pyknotisch erscheinenden Neuronen.
169. Kontos, H. A. and Povlishock, J. T.: Oxygen radicals in brain injury, Cent.Nerv.Syst.Trauma 3:257-263, 1986 170. Hallam, T. M., Floyd, C. L., Folkerts, M. M., Lee, L. L., Gong, Q. Z., Lyeth, B. G., Muizelaar, J. P., and Berman, R. F.: Comparison of behavioral deficits and acute neuronal degeneration in rat lateral fluid percussion and weightdrop brain injury models, J.Neurotrauma 21:521-539, 2004 |
Wie in der Literatur beschrieben, wurden auch in der vorliegenden Arbeit nach der Induktion des Schädelhirntraumas neuronale Schädigungen, Verluste vital erscheinender Neurone und ödematöse Auflockerungen des kortikalen Zellverbandes beobachtet, die pathophysiologische Mechanismen nach traumatischen Gehirnschädigungen darstellen (KONTOS u. POVLISHOCK 1986; ASANO et al. 1989; HALLAM et al. 2004).
Die Veränderungen im Hippocampus entsprachen ebenfalls dem Bild hypoxie- und traumainduzierter Schädigungen mit selektiv pyknotisch erscheinenden dunklen Neuronen. |
Ein Verweis auf die Quelle fehlt. |
|
| [42.] Lcg/Fragment 086 01 - Diskussion Zuletzt bearbeitet: 2015-11-17 22:35:49 Hindemith | Fragment, Gesichtet, Lcg, Mallig 2006, SMWFragment, Schutzlevel sysop, Verschleierung |
|
|
| Untersuchte Arbeit: Seite: 86, Zeilen: 6-22 |
Quelle: Mallig 2006 Seite(n): 137, Zeilen: 5ff |
|---|---|
| Das Polytrauma stellt in Industriestaaten immer noch die häufigste Todesursache junger Erwachsener dar und ist bei den Überlebenden oft mit Behinderungen und Problemen der sozialen wie auch beruflicher Reintegration verbunden. Im Rahmen eines Polytraumas ist das Schädelhirntrauma eine der häufigsten Verletzungen. Die wechselseitige Beeinflussung von Schädelhirnverletzungen und extrakraniellen Traumata führt zu einem komplexen Krankheitsbild, dessen Mechanismen noch nicht ausreichend erfasst sind.
Im Rahmen der vorliegenden Arbeit sollten Effekte des Interleukin-6 im Rahmen des Systemic Inflammatory Response Syndrome (SIRS) mit Hilfe eines experimentellen Polytrauma-Modells der Maus, das das klassische Verletzungsmuster simuliert und die damit verbundenen pathophysiologischen und immunpathologischen Veränderung aufzeigt, dargestellt werden. Mit diesem Ziel wurde an Mäusen des Inzuchtstammes B6;129S2-IL6tmlKopf (IL-6 Knockout = IL-6-/-) und an Mäusen des Inzuchtstammes C57BL/6J (Wildtyp = WT) ein geschlossenes Schädelhirntrauma mit einer stumpfen Weichteil- und Knochenverletzung in Form einer geschlossenen Femurfraktur und einem hämorrhagischem Schock kombiniert. |
Das Polytrauma stellt in Industriestaaten die häufigste Todesursache junger Erwachsener dar und ist bei Überlebenden oft mit Behinderungen und Problemen bei der sozialen wie beruflichen Reintegration verbunden. Damit hat das Polytrauma neben der medizinischen auch eine große sozioökonomische Bedeutung. Im Rahmen eines Polytraumas ist das Schädelhirntrauma eine der häufigsten Verletzungen. Es hat bedeutenden Einfluss auf den Krankheitsverlauf und führt zu einer deutlichen Verlängerung der Intensivzeit und der gesamten Rehabilitation sowie einer erhöhten Letalität. Die wechselseitige Beeinflussung von Schädelhirnverletzungen und extrakraniellen Traumata führt zu einem komplexen Krankheitsbild, dessen Mechanismen noch nicht ausreichend erfasst sind.
Um diese zu untersuchen sollte im Rahmen der vorliegenden Arbeit ein experimentelles Polytrauma-Modell entwickelt werden, das die klinische Situation schädelhirnverletzter Polytraumapatienten simuliert, die damit verbundenen pathophysiologischen und immunpathologischen Veränderungen darstellt und somit die Grundlage weiterführender Untersuchungen bildet. Mit diesem Ziel wurde an Mäusen des Inzuchtstammes C57BL/6 ein Schädelhirntrauma mit Hilfe eines „Controlled Cortical Impact“ induziert und mit einer stumpfen Weichteil- und Knochenverletzung in Form einer geschlossenen Femurfraktur und einem volumenkontrollierten hämorrhagischen Schock kombiniert. |
Ein Verweis auf die Quelle fehlt. |
|
| [43.] Lcg/Fragment 088 05 - Diskussion Zuletzt bearbeitet: 2015-11-17 22:35:55 Hindemith | Fragment, Gesichtet, Lcg, Mallig 2006, SMWFragment, Schutzlevel sysop, Verschleierung |
|
|
| Untersuchte Arbeit: Seite: 88, Zeilen: 5-23 |
Quelle: Mallig 2006 Seite(n): 139, Zeilen: 5ff |
|---|---|
| Multiple trauma is the most common cause of death of young adults in developed countries. Survivors often suffer from disabilities as well as social and vocational rehabilitation problems. In context of multiple trauma, traumatic brain injury (TBI) is one of the most frequent injuries. The mutual influence of TBI and extracranial trauma leads to a complex clinical picture with mechanisms that are still inadequately investigated.
With the help of an experimental multiple trauma model, which simulates typical injuries of brain-injured multiple trauma patients and describes the associated pathophysiological and immunopathological alterations, the present study aimed to show the effects of interleukin-6 on systemic inflammatory response syndrome and consecutive organ damage. With this objective, TBI was induced in B6;129S2-IL6tmlKopf mice (IL-6 knockout = IL-6-/-) and in C57BL/6J mice (wild type = WT) and combined with blunt soft tissue and bone injury, performed by a closed femoral fracture with concomitant volumecontrolled hemorrhagic shock. During an experimental period of 96 hours, the effects of multiple trauma and the alterations of single injury (isolated TBI and femoral fracture with hemorrhagic shock respectively) were tested by means of clinical, histological and immunological procedures and were compared between IL-6-/- and WT mice. |
Multiple trauma is the most common cause of death of young adults in developed countries. Survivors often suffer from disabilities as well as social and vocational rehabilitation problems. Therefore, multiple trauma has medical relevance and also significant socio-economic importance. In the context of multiple trauma, traumatic brain injury (TBI) is one of the most frequent injuries. It has an extensive impact on the course of disease and leads to a considerable prolongation of the intensive care time and the whole rehabilitation process in addition to an increased lethality. The mutual influence of TBI and extracranial trauma leads to a complex clinical picture with mechanisms that are still inadequately investigated.
The present study aimed to develop an experimental multiple trauma model, which simulates the clinical situation of brain-injured multiple trauma patients and describes the associated pathophysiolgical and immunopathological alterations, in order to provide a basis for further research in this field. With this objective, TBI was induced in C57BL/6 mice by means of controlled cortical impact (CCI) and combined with blunt soft-tissue and bone injury that was performed by a closed femoral fracture with concomitant volume-controlled hemorrhagic shock. The purpose was to measure the effect of TBI on pathophysiological changes following traumatic-hemorrhagic shock as well as the influence of this extracranial injury on the histopathology of the brain after TBI. During an experimental period of 96 hours, the effects of multiple trauma were tested by means of clinical, histological and immunological procedures and compared to the alterations of single injury (isolated TBI and femoral fracture with hemorrhagic shock respectively). |
Ein Verweis auf die Quelle fehlt. |
|























