von Luer Christian Geerken
Statistik und Sichtungsnachweis dieser Seite findet sich am Artikelende
| [1.] Lcg/Fragment 066 01 - Diskussion Zuletzt bearbeitet: 2015-11-18 10:36:14 Klgn | Fragment, Gesichtet, Lcg, Mallig 2006, SMWFragment, Schutzlevel sysop, Verschleierung |
|
|
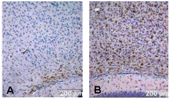
| Untersuchte Arbeit: Seite: 66, Zeilen: 1-4, Abbildung 54 |
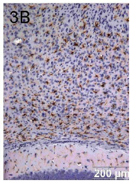
Quelle: Mallig 2006 Seite(n): 90, 91, 94, Zeilen: 90: letzte Überschrift; 91: 1-4; 94: Abbildung (1A, 3B) |
|---|---|
| GFAP-Färbung
Bei der qualitativen Betrachtung fiel eine deutliche Hyperplasie und Hypertrophie der Astrozyten auf. Diese beidseitige reaktive Gliose zeigte sich im Cortex und in der darunter liegenden weißen Substanz sowie im Hippocampus. [...] [...] Abbildung 54: Histologische Präparate aus dem Cortex (Bereich des Cingulums): Dargestellt sind beispielhaft die unterschiedlichen Ausprägungen der Astrogliose, A: geringgradige Astrogliose, B: ausgeprägte Astrogliose; Nissl-Färbung, 100fache Vergrößerung, Messbalken: 200 μm |
[5.4.5.3 GFAP-Färbung]
[Seite 91] Bei der qualitativen Betrachtung fiel eine deutliche Hyperplasie und Hypertrophie der Astrozyten auf. Diese war im Cortex besonders an den medialen und lateralen Randzonen der Kontusion und in der darunter liegenden weißen Substanz entlang der Kraftlinien zu beobachten. [Seite 94] Abbildung 35: Histologische Präparate des rechten (A) und linken (B) Cortex (Bereich des Cingulums) der Schädelhirntrauma- (1), Fraktur-Schock- (2) und Polytrauma-Gruppe (3): Dargestellt sind beispielhaft die unterschiedlichen Ausprägungen der Astrogliose im Seitenvergleich; Nissl-Färbung, 100fache Vergrößerung, Messbalken: 200 μm |
Ein Verweis auf die Quelle fehlt. In der Quelle besteht die Abbildung aus 3x2 Teilabbildungen. Die Abbildungen links oben und rechts unten sind wiedergegeben. Aus diesen Teilabbildungen wurden die Abbildungen der untersuchten Arbeit offenbar ausgeschnitten. |
|
Letzte Bearbeitung dieser Seite: durch Benutzer:WiseWoman, Zeitstempel: 20151012185430


